Sr. Director:
El Streptococcus agalactiae se ha relacionado clásicamente con patología del neonato y de adultas gestantes o puérperas1 y ha sido considerado un agente patógeno poco frecuente en el adulto. En adultos no gestantes el S. agalactiae ocasiona infecciones en pacientes ancianos y con factores de riesgo como diabetes mellitus, hepatopatía crónica, tratamientos inmunosupresores y neoplasias2,3.
Presentamos un caso de espondilitis infecciosa espontánea y absceso de ambos músculos psoas, asociada a meningitis y endoftalmitis, aislándose S. agalactiae en hemocultivos, cultivos de orina, pus de abscesos, humor vítreo de ojo izquierdo y líquido cefalorraquídeo.
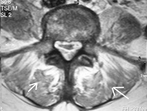
Se trata de una mujer de 69 años con antecedentes de diabetes mellitus tipo 2, mastectomía radical izquierda por carcinoma de mama, que recibió quimioterapia, radioterapia y hormonoterapia con tamoxifemo. Se encontraba en tratamiento con insulina NPH y tamoxifeno. Acudió al servicio de Urgencias de un hospital de nuestra área sanitaria con clínica de dolor lumbar de 5 días de duración. Había presentado leucocoria de ojo izquierdo en las últimas 48 horas. En la exploración física presentaba temperatura de 37 ºC, leucocoria de ojo izquierdo y dolor a la palpación sobre las últimas vértebras lumbares. La tensión arterial era de 160/90 mmHg, frecuencia cardíaca 110 latidos/minuto y frecuencia respiratoria de 28 respiraciones/minuto. La analítica mostró: hemoglobina: 12,3 g/dl, hematocrito: 34,5%, leucocitos: 16.900/mm3 (el 95% segmentados, el 3% cayados), plaquetas: 67.000/mm3, actividad de protrombina: 83%, tiempo de cefalina: 29 seg, glucosa: 576 mg/dl, urea: 122 mg/dl, creatinina: 1,2 mg/dl. La gasometría arterial (fracción inspirada de oxígeno [FiO2] 0,35) mostró: pH: 7,42, presión parcial de dióxido de carbono arterial (PaCO2): 37 mmHg, presión parcial de oxígeno arterial (PaO2): 81 mmHg, bicarbonato: 24 mEq/l. En el sedimento de orina destacaba intensa bacteriuria. La radiografía de tórax fue normal. Durante su estancia en Urgencias sufrió deterioro neurológico por lo que se realizó una tomografía axial computarizada de cráneo que no demostró patología intracraneal, presentando aumento de la densidad de cristalino izquierdo. Se realizó punción lumbar que resultó de aspecto purulento con resultado siguiente: leucocitos: 168.000 mm3 (el 83% segmentados), glucosa: 43 mg/dl, proteínas: 2.350 mg/dl y cocos grampositivos. Se diagnosticó de meningitis e infección del tracto urinario y se trasladó a nuestra Unidad de Cuidados Intensivos (UCI). Se inició terapia antibiótica empírica con ceftriaxona y vacomicina. Ante la presencia de importante dolor lumbar se realizó resonancia magnética nuclear (RMN) de columna dorso-lumbar que evidenció la presencia de espondilitis a nivel de L4 y L5 con una colección en espacio epidural compatible con absceso epidural (fig. 1) y afectación de ambos músculos psoas (fig. 2). Fue intervenida con desbridamiento de los abscesos de músculos psoas tomando muestras para análisis microbiológico. También se obtuvieron muestras de humor vítreo y se instilaron antibióticos intraoculares. Se aisló en cultivo de líquido cefalorraquídeo, hemocultivos, cultivo de orina, humor vítreo y muestras de pus de psoas S. agalactiae sensible a penicilina, por lo que se sustituyó el tratamiento antibiótico mencionado por penicilina G endovenosa; por parte de oftalmología se instauró tratamiento con vancomicina y ceftriaxona en colirio.
Figura 1. Resonancia magnética nuclear de columna dorso-lumbar que evidencia la presencia de espondilitis a nivel de L4 y L5, además de un absceso epidural.
Figura 2. Resonancia magnética nuclear mostrando la afectación de ambos músculos psoas.
La enferma evolucionó favorablemente y siguió tratamiento antibiótico durante ocho semanas quedando como secuela amaurosis del ojo izquierdo. En la RMN que se realizó seis meses después del alta de UCI, de forma ambulatoria, no se evidenciaron signos de espondilitis.
La infección del raquis por S. agalactiae es infrecuente según la literatura publicada4. En nuestro caso la paciente presentaba como factores de riesgo la edad, la diabetes mellitus y el antecedente de la neoplasia de mama, siendo la probable puerta de entrada la infección urinaria. Cabe destacar en el caso que presentamos la asociación de meningitis y endoftalmitis junto con la presencia de absceso epidural y afectación de ambos músculos psoas, asociación no descrita de forma conjunta en la literatura revisada hasta agosto de 2005. Se ha publicado un caso de meningitis y endoftalmitis por S. agalactiae en el que también se produjo la perdida del ojo afectado5. Por último, conviene recordar que el S. agalactiae es un microorganismo uniformemente sensible a penicilina, habiéndose comunicado algunos casos de resistencia a macrólidos6.




