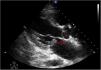
Varón de 82 años, hipertenso y con insuficiencia renal crónica en hemodiálisis, con mala situación basal. Acude por deterioro del estado general de 2 semanas de duración, objetivándose un bloqueo auriculoventricular completo. Ingresa en UCI, estable hemodinámicamente y con oxigenoterapia de bajo flujo. Se realiza ecocardiografía transtorácica, que evidencia una insuficiencia mitral moderada e imagen sugestiva de vegetación en el velo anterior mitral (fig. 1). Hemocultivos positivos para Staphylococcus aureus. La ecocardiografía transesofágica confirma una vegetación de 14×10mm en el velo anterior mitral (A3) y evidencia un pseudoaneurisma (fig. 2,*) en la base del septo interauricular con fistulizaciones múltiples que comunican el tracto de salida del ventrículo izquierdo con ambas aurículas (fig. 3). Dada la situación basal del paciente se desestima para tratamiento quirúrgico.
Se han incluido vídeos de la ecocardiografía como material electrónico adicional que ilustran lo descrito en el texto.
FinanciaciónEste artículo no ha sido financiado.
Conflicto de interesesSin conflicto de intereses.
Supplementary data associated with this article can be found in the online version, at doi:10.1016/j.medin.2023.04.011





