Sr. Director:
La gangrena gaseosa del páncreas secundaria a una infección por Clostridium perfringens es una forma extremadamente rara de pancreatitis aguda1-6 y la presencia de un neumoperitoneo espontáneo sin perforación visceral en pacientes con pancreatitis sólo se ha referido en una ocasión con anterioridad2 (MEDLINE, 1966-2005, usando los descriptores pancreatitis [MESH] AND pneumoperitoneum [MESH]). Se presenta el caso de un paciente con una pancreatitis enfisematosa clostridial que tuvo un neumoperitoneo en ausencia de perforación visceral asociada.
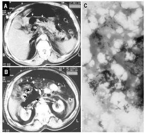
Varón hipertenso de 64 años que acude al hospital por dolor epigástrico de 24 horas de evolución y náuseas. La presión arterial era de 105/85 mmHg, la frecuencia cardíaca de 156 latidos por minuto y la temperatura de 40 ºC. La exploración física puso de manifiesto una deshidratación intensa, mala perfusión periférica y un abdomen doloroso, defendido, timpanizado, sin peristaltismo y con livideces en flancos. En la analítica destacó: glucosa 250 mg/dl, amilasa 1.459 U/l, sodio 140 mEq/l, potasio 4,5 mEq/l, creatinina 1,90 mg/dl, urea 40 mg/dl, creatinquinasa 156 U/l, aminotransferasa de alanina 161 U/l, aminotransferasa aspártica 216 U/l, leucocitos 12,9 x 109/l con 87% neutrófilos, hemoglobina 22,8 g/dl, hematocrito 66% y plaquetas 296 x 109/l. Una gasometría arterial (fracción inspiratoria de oxígeno [FiO2] de 0,31) reveló: pH de 7,37, presión arterial de oxígeno de 63 mmHg, presión arterial de anhídrido carbónico de 22,5 mmHg y bicarbonato de 13,3 mEq/l. El paciente fue tratado con fluidos e imipenen. Una tomografía computarizada (TC) abdominal con contraste mostró necrosis pancreática con gas rodeando el cuerpo y cola del páncreas (fig. 1A) y aire libre intraperitoneal y en el espacio pararrenal anterior derecho (fig. 1B). Ante la sospecha de pancreatitis gangrenosa asociada a perforación de víscera hueca (duodeno), se realizó una laparotomía exploradora que reveló crepitación y olor nauseabundo al abrir la cavidad abdominal, signos de pancreatitis necrohemorrágica y, tras una extensa revisión de la cavidad abdominal, ausencia de perforación intestinal. Se realizó una necrosectomía pancreática y se tomaron muestras para cultivos y tinción de Gram, la cual mostró bacilos grampositivos (fig. 1C). El paciente falleció por shock séptico a las pocas horas de la intervención. En los cultivos se aisló un Clostridium perfringens.
Figura 1. Una tomografía computarizada abdominal con contraste muestra la presencia de gas en cuerpo y cola del páncreas (flechas blancas) (A) y aire libre intraperitoneal (flechas blancas) y retroperitoneal (flechas negras) (B). Tinción de Gram revelando bacilos grampositivos (C).
La pancreatitis gangrenosa clostridial puede aparecer tras la realización de biopsias pancreáticas5, asociada a pancreatitis litiásicas6 o espontáneamente1-4, sin manipulaciones instrumentales previas o enfermedades subyacentes conocidas. Puesto que el C. perfringens es un comensal habitual del intestino que puede colonizar el árbol biliar7, se cree que el germen anaerobio alcanza el lecho pancreático mediante una propagación directa transmural desde el colon, debido al incremento de la permeabilidad de la serosa adyacente al páncreas inflamado o mediante una migración desde el árbol biliar que se encuentra colonizado por clostridios procedentes del hígado, adonde llegan desde el colon transportados por el sistema venoso portal1,3,4,6. La llegada del C. perfringens al páncreas le permite replicarse rápidamente y producir gas, puesto que el tejido necrótico constituye un excelente medio de cultivo por su baja tensión ambiental de oxígeno.
La TC del abdomen es el método ideal para evaluar las infecciones enfisematosas del páncreas, pues permite detectar tanto la presencia del gas como su extensión y localización8. No obstante, debe tenerse en cuenta que sólo alrededor del 20% de las necrosis pancreáticas infectadas muestran gas peripancreático9 y que su presencia aislada no es específica de infección, pues podría deberse a otras causas como fístulas entéricas (preferentemente desde el colon transverso) o reflujo desde el duodeno tras esfinterotomías o manipulaciones instrumentales endoscópicas4.
Este paciente tuvo una gangrena gaseosa pancreática por Clostridium perfringens, acompañada de un neumoperitoneo sin perforación visceral y de un retroneumoperitoneo. La asociación de neumoperitoneo espontáneo y pancreatitis necrotizante únicamente ha sido descrita en tres ocasiones con anterioridad2,10. Así, en una serie de 17 pacientes con complicaciones quirúrgicas secundarias a pancreatitis necrotizantes, Chaudhary et al10 refirieron dos enfermos que mostraron un neumoperitoneo en la radiografía de tórax debido a una perforación yeyunal y a una erosión duodenal. Posteriormente, como en este paciente, Stockinger y Corsetti2 reseñaron el único caso publicado de neumoperitoneo, en ausencia de perforación visceral demostrable, en un paciente que tuvo una gangrena gaseosa pancreática complicada con una trombosis venosa mesentérica. También como en este caso, Anderson et al4 y Foitzik et al6 observaron tres pacientes con retroneumoperitoneo secundario a una pancreatitis aguda infectada por C. perfringens.
El tratamiento de la gangrena gaseosa pancreática se basa en la intervención quirúrgica precoz para desbridar y drenar el lecho pancreático, y en la administración de antibióticos dirigidos contra los clostridios y otras bacterias entéricas1-6. Aunque la gangrena gaseosa pancreática por C. perfringens puede causar un neumoperitoneo espontáneo sin perforación visceral, su detección exige siempre la realización de una laparotomía exploradora.



