INTRODUCCIÓN
El consumo de sustancias derivadas de las anfetaminas es cada vez más frecuente. Su adquisición es relativamente sencilla en muchos de los centros de moda frecuentados por los jóvenes. Su fabricación clandestina hace que sea imprevisible la pureza y los contaminantes con los que llega al mercado1,2. El abuso de estas drogas puede tener complicaciones fatales, y se puede producir la muerte en pocas horas2. Uno de los efectos secundarios más temidos tras la ingesta de 3,4- metilendioximetilanfetamina (MDMA) es la hiponatremia. Existen diversos estudios que han demostrado la relación existente entre el consumo de éxtasis y el desarrollo del síndrome de secreción inadecuada de hormona antidiurética (SIADH)1,3, que explicaría los trastornos hidroelectrolíticos (hiponatremia, natriuresis, osmolaridad plasmática baja y osmolaridad urinaria alta), que se observan en algunos de estos pacientes, y que implican graves riesgos. Otra posible causa de hiponatremia es la excesiva ingesta de agua libre provocada por la frenética actividad física tras la toma de éxtasis4.
CASO CLÍNICO
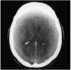
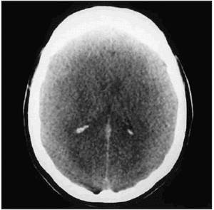
Se trataba de una mujer de 17 años, sin antecedentes médicos de interés, que acudió a una fiesta donde consumió un comprimido y medio de éxtasis e importantes cantidades de agua. Pocas horas después fue trasladada por un familiar a nuestro hospital por presentar, de manera brusca, deterioro del nivel de conciencia, con importante agitación psicomotriz, sin conexión con el medio, ni respuesta a órdenes verbales. Fue valorada inicialmente por el servicio de urgencias, donde llegó con una puntuación en la escala de Glasgow (GCS) de 6: O1+M4+V1. Estaba agitada y sin respuesta a órdenes. Las pupilas eran isocóricas, débilmente reactivas, sin apertura ocular espontánea ni ante estímulos nociceptivos. Presentaba movimientos de retirada en extremidades superiores. Durante su estancia en urgencias progresó el deterioro del nivel de conciencia, por lo que se procedió a intubación orotraqueal y conexión a ventilación mecánica. Se realizó una tomografía axial computarizada (TAC) craneal sin observarse signos de edema cerebral, ni desviación de la línea media, ni lesiones ocupantes de espacio. En la analítica de urgencias destacaba la presencia de sodio en sangre de 119 mEq/l, que se confirmó en una nueva determinación, una osmolaridad plasmática de 240 mOsm/kg, un sodio en orina de 183 mEq/l y una osmolaridad en orina de 685 mOsm/kg, con creatinfosfocinasa (CPK) en plasma de 2.082 U/l. La determinación de tóxicos en orina fue positiva para derivados anfetamínicos. La paciente ingresó en nuestro servicio, y se inició la corrección lenta del déficit de sodio y restricción de líquidos. A los 30 min del ingreso presentó un deterioro agudo neurológico con midriasis bilateral arreactiva y movimientos de descerebración espontáneos en las 4 extremidades. Se realizó una nueva TAC craneal urgente en la que se objetivó la existencia de edema cerebral difuso y masivo, con borramiento de cisternas (fig. 1). Se decidió controlar la presión intracraneal con un catéter intraparenquimatoso de presión intracraneal (PIC), con una primera medida mayor de 60 mmHg. Se inició tratamiento antiedema, con suero salino hipertónico y bolos de manitol, sin obtener descenso de la PIC ni respuesta clínica. Dos horas más tarde la exploración clínica era compatible con muerte cerebral, lo que se confirmó con diversas exploraciones complementarias: electroencefalograma (EEG), potenciales evocados y Doppler transcraneal (DTC) (fig. 2). Tras el fallecimiento de la paciente se practicó la autopsia y los datos toxicológicos postmortem confirmaron la presencia de MDMA en diversas muestras de sangre (0,03 mg/ml), cavidad gástrica (14,54 mg/g), orina (0,23 mg/ml) y humor vítreo (0,02 mg/ml).
Figura 1. Tomografía axial computarizada craneal: edema cerebral masivo.
Figura 2. Doppler transcraneal: patrón compatible con muerte cerebral.
La paciente fue donante multiórgano y la evolución posterior de los receptores de dichos órganos fue satisfactoria.
DISCUSIÓN
La MDMA o éxtasis es una de las diferentes drogas de diseño que podemos encontrar hoy día en el "mercado". Su uso es cada vez más habitual entre los jóvenes de los países industrializados5. Los efectos adversos derivados de su consumo son muy variados, y generan en estos pacientes la necesidad de ser atendidos en los servicios de urgencias y medicina intensiva, que ante la presencia de deterioro neurológico de causa desconocida en un joven, realizan el diagnóstico diferencial con el abuso de derivados anfetamínicos1,4.
La expresión clínica es dependiente de la dosis, aunque al parecer existen factores idiosincrásicos que modifican su evolución.
Los síntomas que motivan la consulta son la agitación, las convulsiones, las arritmias cardíacas y la hipertermia. Entre los efectos más graves se encuentran, la hepatitis tóxica que puede precisar trasplante hepático, y la hiponatremia que, como en el caso descrito, puede llevar a la muerte del paciente en pocas horas por edema cerebral masivo1.
Los síntomas de la hiponatremia incluyen, letargia, confusión, náuseas, vómitos, convulsiones y coma por edema cerebral en casos graves1. Su aparición se relaciona con el valor de hiponatremia y la rapidez de su desarrollo. En nuestro caso, la paciente presentaba una serie de trastornos hidroelectrolíticos compatibles con un síndrome de secreción inadecuada de ADH. El consumo de anfetaminas estimula la liberación de hormona ADH, lo que altera la capacidad normal de eliminación de agua libre, y causa retención acuosa e hiponatremia1,5,6. El diagnóstico se basa en la sospecha clínica y en los hallazgos analíticos, y puede confirmarse con la determinación de valores altos de vasopresina en sangre7.
Otra posible causa de hiponatremia es la excesiva ingesta de agua libre, que acompaña a una importante actividad física tras el consumo de éxtasis1,7-9. A diferencia del síndrome de SIADH, nos encontraremos con un valor bajo de sodio en sangre, una osmolaridad plasmática baja, y una osmolaridad en orina normal o baja6.
El tratamiento del síndrome de SIADH consiste en restricción líquida y, si la hiponatremia es severa y clínicamente evidente, reposición lenta con sodio.
Durante años se ha insistido en la importancia de una adecuada velocidad de reposición para evitar efectos secundarios como la mielolinisis central pontina. Sin embargo, hoy día existen dudas en cuanto a la fisiopatología de este cuadro, sin saber si es desencadenado por una corrección rápida o por el propio déficit de sodio.
En cuanto a la hiponatremia debida a la ingesta de abundantes cantidades de agua libre, se recomienda a los consumidores de derivados anfetamínicos, reponer las pérdidas de volumen con bebidas deportivas que contengan en su composición suplementos de sales4.
Los órganos torácicos y abdominales de los pacientes que fallecen tras ingesta de éxtasis son viables para trasplante. La supervivencia a corto y medio plazo de los trasplantados es similar a la de cualquier otro donante. Al mismo tiempo, se les considera buenos receptores, siendo una buena opción terapéutica en aquellos pacientes que desarrollan un fallo hepático fulminante tras la ingesta de estas sustancias10.
Por último, creemos que es necesario establecer campañas informativas, entre los adolescentes y sus padres, sobre el riesgo que conlleva el consumo de este tipo de sustancias5.




