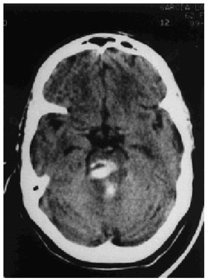
Paciente mujer de 62 años de edad, con antecedentes de hipertensión arterial, que presenta súbitamente deterioro neurológico e ingresa en urgencias de nuestro hospital en coma profundo con una puntuación de Glasgow de 5 y cifras de hipertensión arterial de 200/100 mmHg. En la exploración destaca miosis no reactiva, reflejos corneales y movimientos oculocefálicos ausentes. Previa sedorrelajación se procede a intubación orotraqueal y conexión a ventilación mecánica, y se realiza una tomografía computarizada helicoidal craneal (fig. 1) que objetiva hemorragia mesencefálica y protuberancial abierta a cuarto ventrículo. El electrocardiograma presenta discreta lesión subepicárdica en cara inferior < 1 mm y más acusada en cara lateral baja con cambios recíprocos en I y aVL (fig. 2). Analíticamente sólo destaca leucocitosis de 24.000 mm3 y curva típica de creatinfosfocinasa, fracción MB y troponina T con un pico máximo de 1.503, 152 y 2,90 UI/l, respectivamente. Se realiza traqueostomía percutánea siendo dada de alta en la misma situación neurológica a los 10 días. Diagnóstico: infarto agudo de miocardio secundario a hemorragia mesencefálica y protuberancial.
Figura 1.
Figura 2. Electrocardiograma que muestra lesión subepicárdica inferolateral.




