Varón de 30 años sin antecedentes personales de interés que ingresa en UCI por traumatismo torácico y medular tras un accidente de moto. Desde el impacto se halla parapléjico.
En la exploración física destaca una paraplejía sin preservación de esfínteres, con un nivel sensitivo inframamilar y una pérdida de fuerza asimétrica en los miembros superiores. Fuerza en la extremidad superior izquierda (ESI) 4/5: movimiento activo contra gravedad y contra resistencia, y en extremidad superior derecha (ESD) 1/5: esbozo de movimiento o indicio de contracción.
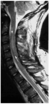
La tomografía computarizada helicoidal cervicodorsal evidencia una fractura conminuta del cuerpo vertebral D7 con múltiples fragmentos impactados hacia el canal raquídeo y numerosas líneas de fractura del arco posterior en esta región. No se observan lesiones óseas en columna cervical.
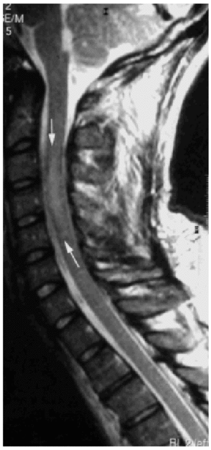
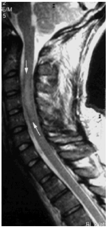
Se instaura tratamiento con una megadosis de corticoides. A las 12 h del ingreso se agrava la paresia en ESI (fuerza 2/3: movimiento activo eliminando la gravedad), con preservación sensitiva, por lo que se lleva a cabo una resonancia magnética nuclear que objetiva una contusión medular cervical que compromete los segmentos C3-C5.
Se decidió intervención quirúrgica con estabilización de la columna. El paciente fue dado de alta con una paraplejía y una leve paresia de ESI.



