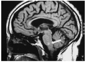
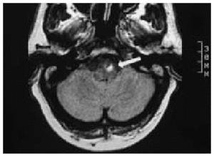
Varón de 71 años de edad, que fue ingresado por presentar un cuadro de dolor precordial de características coronarias en el ECG, presentaba una corriente de lesión subepicárdica inferior y lateral baja y escaso crecimiento de ondas R en las precordiales derechas por probable necrosis anteroseptal antigua. Se procede a la realización de una fibrinolisis con tenecteplasa, manteniendo perfusión de heparina sódica, antiagregación con ácido acetilsalicílico y nitritos. A las 4 h de la fibrinolisis aparece diplopía y afección del VI par craneal izquierdo; se realizó una tomografía computarizada craneal que mostró una dudosa imagen hiperintensa localizada en troncoencéfalo de 1 ml. Con objeto de completar el estudio se realizó una resonancia magnética nuclear craneal (figs. 1 y 2), que mostró una lesión ovalada de 1 cm en la unión bulboprotuberancial izquierda hiperintensa (con centro más hipointenso, en relación con la evolución normal de los componentes de la hemoglobina). El diagnóstico fue de hematoma intraparenquimatoso en la unión bulbomedular izquierda. La evolución posterior fue satisfactoria, con restitución ad integrum a los 2 meses. El juicio clínico fue de hematoma de la unión bulboprotruberancial secundario a fibrinolisis.
Figura 1.
Figura 2.




