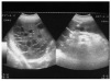
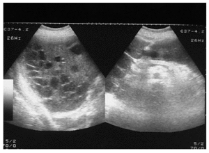
Paciente mujer de 59 años con antecedentes de asma bronquial que ingresa en el servicio de medicina interna por cuadro de malestar general, ictericia, fiebre y mialgias de una semana de evolución. En la exploración física presenta ictericia y hepatomegalia dolorosa, dura y "abollonada" y en la analítica, bilirrubinemia total de 4,7 mg/dl y leucocitosis de 24.000/μl. Se realiza ecografía (fig. 1) y tomografía computarizada abdominal (fig. 2) que muestran hepatomegalia con múltiples imágenes quísticas en el parénquima hepático. Con la sospecha diagnóstica de colangitis y abscesos hepáticos múltiples se decidió una intervención quirúrgica urgente, y se realizó drenaje y lavado de múltiples colecciones, colecistectomía reglada y drenaje de la vía biliar.
Figura 1.
Figura 2.
La paciente ingresa en nuestra Unidad en situación de shock séptico precisando soporte vasoactivo y ventilación mecánica prolongada. Ante el crecimiento en el líquido biliar de Candida sp. resistente a los azoles, se inició tratamiento con caspofungina; la evolución fue satisfactoria por lo que se trasladó a la paciente a planta a los 15 días de su ingreso en la Unidad.




