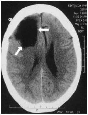
Paciente de 54 años con antecedentes de hipertensión arterial que acude a urgencias por un episodio brusco de caída al suelo, con disartria, desviación de la comisura bucal y de la mirada a la izquierda, vómitos y una crisis tonicoclónica generalizada. Ingresa en la Unidad de Cuidados Intensivos (UCI) con la sospecha de accidente cerebrovascular agudo, con los ojos abiertos, midriasis bilateral, desconexión del medio sin respuesta a estímulos y desviación de la mirada a la izquierda, por lo que se procedió a su intubación y conexión a ventilación mecánica. Se realiza una tomografía computarizada craneal que objetiva quiste aracnoideo gigante con gran efecto expansivo, desviación de la línea media y desviación de tronco. Se efectúa una intervención urgente con drenaje del quiste. La evolución inmediata es buena; al alta de la UCI la paciente se encontraba consciente y orientada, colaboradora y sin focalidad neurológica. Fue derivada a la planta de neurocirugía para la realización de una derivación quiste-peritoneal.
The Impact Factor measures the average number of citations received in a particular year by papers published in the journal during the two preceding years.
© Clarivate Analytics, Journal Citation Reports 2025
SRJ is a prestige metric based on the idea that not all citations are the same. SJR uses a similar algorithm as the Google page rank; it provides a quantitative and qualitative measure of the journal's impact.
See moreSNIP measures contextual citation impact by wighting citations based on the total number of citations in a subject field.
See more



