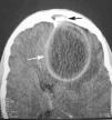
Figura 1.
Paciente de 19 años de edad sin antecedentes de interés. Presenta cuadro de malestar general, astenia y febrícula de dos meses de evolución al que se añade en los últimos días cefalea frontal y tendencia al sueño. Se realiza tomografía axial computarizada (TAC) craneal con contraste observando una lesión hipodensa de 6 x 5 cm con captación periférica en anillo (fig. 1), sugestiva de absceso cerebral (flecha blanca) junto con la existencia de sinusitis frontal y rotura de la tabla posterior del seno frontal (flecha negra). Se procede a drenaje quirúrgico tras el cual el paciente ingresa en la Unidad de Cuidados Intensivos. Recibe tratamiento antibiótico empírico aislándose posteriormente un Streptococcus pyogenes sensible al tratamiento instaurado. Evoluciona favorablemente, siendo dado de alta en 48 horas sin secuelas.



