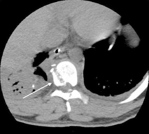
Se trata de un paciente de 23 años que sufre agresión por arma de fuego. Presenta orificio de entrada en hemitórax derecho en línea medioclavicular a la altura de séptimo espacio intercostal de unos 3-5 mm de diámetro y no se localiza orificio de salida. Clínicamente el paciente presentaba insuficiencia respiratoria y un nivel medular sensitivo-motor D6-D7 compatible con sección medular completa a dicho nivel. El paciente se sometió a toracotomía posterolateral quirúrgica por lesión de lóbulos pulmonares medio e inferior derechos y se localizó el proyectil en zona subcutánea de hemitórax izquierdo. Entre las pruebas de imagen realizadas destaca una tomografía axial computarizada torácica con hemotórax derecho masivo e imagen de trayecto oblicuo por proyectil a nivel D8 con salida por el arco posterior (flecha).
The Impact Factor measures the average number of citations received in a particular year by papers published in the journal during the two preceding years.
© Clarivate Analytics, Journal Citation Reports 2025
SRJ is a prestige metric based on the idea that not all citations are the same. SJR uses a similar algorithm as the Google page rank; it provides a quantitative and qualitative measure of the journal's impact.
See moreSNIP measures contextual citation impact by wighting citations based on the total number of citations in a subject field.
See more



