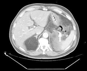
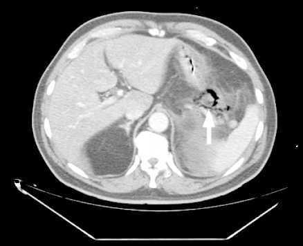
Paciente de 70 años sin antecedentes médicos de interés que acude al Servicio de Urgencias por un cuadro de dolor abdominal y vómitos. Se le diagnosticó pancreatitis aguda dado que la amilasemia era de 4.390 U/l. Ante la persistencia del dolor y la aparición de distensión abdominal se realizó una tomografía axial computarizada del abdomen que mostró signos de pancreatitis enfisematosa y colecistitis enfisematosa con cálculos (fig. 1). El paciente presentó deterioro del intercambio gaseoso, por lo que fue ingresado en la Unidad de Cuidados Intensivos. Tras consultar con el Servicio de Cirugía General se decidió la intervención quirúrgica urgente realizándose colecistectomía y apertura de la celda pancreática con drenaje de la cola, y se inició tratamiento sistémico con imipenem. Se llevó a cabo cultivo para aerobios y anaerobios del material obtenido a través de los drenajes y se observó crecimiento de Escherichia coli. El paciente evolucionó favorablemente y fue dado de alta a planta a los 23 días de su ingreso.
Figura 1.



