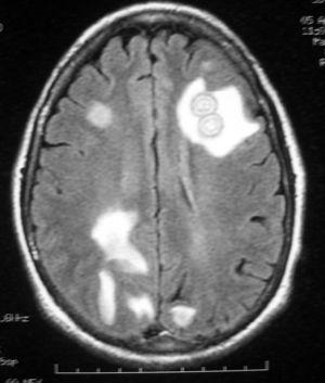
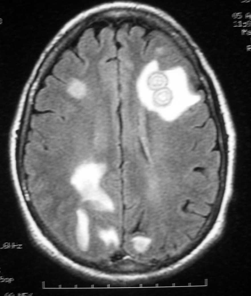
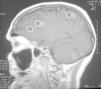
Figura 1.
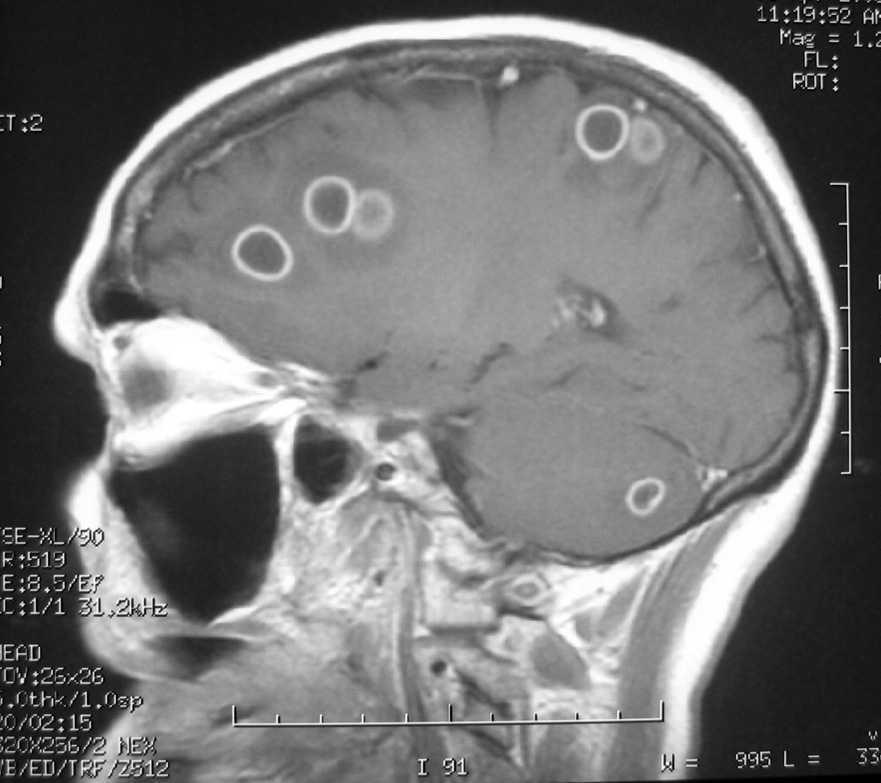
Figura 2.
Mujer de 60 años con uveítis crónica en tratamiento con corticoides. Ingresa por cuadro de tres días con cefalea, vómitos y fiebre, disminución del nivel de conciencia y disfasia. Al ingreso presentaba una temperatura de 39 ºC, crisis tónico clónicas y flúter auricular con hipotensión. Se intubó y conectó a ventilación mecánica. Se le realizó tomografía computarizada craneal con contraste y resonancia magnética donde se ven múltiples lesiones en ambos hemisferios cerebrales y en el cerebelo con captación en anillo (figs. 1 y 2) y edema asociado, que brillan en difusión, compatibles con abscesos piógenos. No se aisló ningún germen en sangre, orina, aspirado traqueal ni líquido cefalorraquídeo. Se realizaron estudios para encontrar el foco de la infección, exploraciones del área otorrinolaringológica, fondo de ojo, ecocardiografía transesofágica, etc., siendo todos normales. Tras tratamiento con meropenem la paciente evolucionó favorablemente, siendo dada de alta asintomática al Servicio de Neurología.




