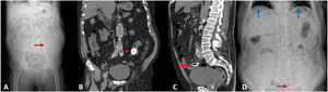
An 84-year-old man presented with abdominal pain, nausea, and vomiting. Abdomen X-Ray (image A) and CT scan (image B) revealed a 2.5 cm radiodense foreign body in the distal ileum (red arrows). Initially stable, he developed worsening abdominal pain, signs of peritonitis and septic shock three days later. Repeat imaging (images C and D) showed pneumoperitoneum (blue arrows). An exploratory laparotomy confirmed ileal perforation by a clam shell, requiring segmental enterectomy. He started piperacillin-tazobactam empirically. Peritoneal fluid culture isolated E. coli, and the antibiogram confirmed adequate coverage. In the postoperative course he required vasopressor support, developed transient respiratory failure requiring high-flow oxygen and experienced episodes of atrial fibrillation managed with amiodarone. Renal function gradually improved, and oral intake was reestablished. He stabilized hemodynamically, allowing transfer from Intensive Care to the Surgical ward. This case illustrates a rare cause of gastrointestinal perforation and septic shock due to accidental foreign body ingestion, underscoring the importance of early recognition and intervention in elderly patients with vague abdominal symptoms and high complication risk.
CRediT authorship contribution statementAll authors contributed to conceptualization, methodology, writing, review and edition of this article. All authors discussed the results and contributed to the final manuscript. All authors have read and agreed to the published version of the manuscript.
FundingsThis research received no external funding.
The authors declare no conflicts of interest.



