Mujer de 27 años, fumadora de 20 cigarrillos/día y bebedora social. Antecedentes de migraña, esclerosis múltiple remitente recurrente sin afectación importante ni tratamiento inmunomodulador previo, y 4 gestaciones con 3 abortos, el último, 2 meses antes. Comienza horas antes de su ingreso de forma súbita con disnea que la despierta, dolor torácico, cefalea, taquicardia, taquipnea y sudoración. En su domicilio se objetiva hipoxemia grave. La familia niega sintomatología respiratoria ni clínica infecciosa en días previos, así como consumo de tóxicos.
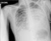
Atendida en las primeras horas en otro hospital, presenta mal estado general, hipotermia, escalofríos, hipotensión y taquicardia. Descartan enfermedad neurológica mediante exploración clínica, TAC craneal y punción lumbar. Una TAC torácica descarta embolia pulmonar, encontrando infiltrados bilaterales sugestivos de edema pulmonar (radiografía en fig. 1). Mediante ecocardiografía se detecta hipocinesia septal con disfunción sistólica ligera de ventrículo izquierdo (VI), mostrando el ECG alteraciones de repolarización (fig. 2). Ya en nuestro centro se realizó una coronariografía urgente que resultó normal. En las horas siguientes sufrió marcado deterioro hemodinámico, precisando intubación, ventilación mecánica y aminas, así como cardioversión eléctrica por taquicardia ventricular monomorfa sostenida. Una nueva ecocardiografía evidenció ligera dilatación de VI (52mm), con grosor septal ligeramente aumentado (10,5mm), y grave disfunción sistólica izquierda (fracción de eyección [FE]: 20%, estimada por Simpson), con función de ventrículo derecho (VD) conservada (TAPSE 22mm, S¿ anillo tricuspídeo >12cm/s), e insuficiencia mitral central ligera. Requirió soporte con dobutamina (10μg/kg/min, limitada por taquicardia sinusal) y noradrenalina (0,35μg/kg/min), planteándose asistencia mediante ECMO veno-arterial.
A pesar de una primera determinación negativa para gripe (nasofaríngea) mantuvimos tratamiento empírico con oseltamivir y ceftriaxona. Resultaron negativas hasta 3 tinciones de gram y cultivo de broncoaspirado, baciloscopias, hemocultivos y antigenurias de neumococo y legionella. Comprobamos velocidades de flujo y pulsatilidad normales y simétricos en ambas arterias cerebrales medias mediante Doppler transcraneal. Fueron negativas las serologías para Brucella melitensis, HTLV-1+2, VIH-1+2, listerias, Mycoplasma pneumoniae, Ricketsia conorii y typhi, yersinia, citomegalovirus IgM, Epstein-Barr IgM, sífilis, virus de hepatitis C, antígeno de superficie de la hepatitis B, Coxiella burnetti, clamydias (pneumoniae, psittaci, trachomatis), leishmania, toxoplasma, leptospira, parvovirus humano B19, adenovirus, enterovirus. Una segunda determinación mediante PCR, en una muestra de aspirado bronquial, resultó positiva para virus influenza A y negativa para influenza B y virus respiratorio sincitial. Resultaron también negativos los anticuerpos antinucleares, anti-músculo cardiaco, test de gestación y un test de tóxicos en orina (anfetamina, cocaína, cannabis). El valor pico de los biomarcadores de daño miocárdico se registró en las primeras 48h (creatincinasa 434mU/ml, troponina T ultrasensible 251,4ng/l), con normalización al sexto día; el NT-proBNP alcanzó su valor máximo en las primeras 48h (9.356pg/ml), normalizándose en 8 días. Del resto de analítica solo cabe destacar leucocitosis (22.090mm3), hiperfibrinogenemia (7,1g/l), proteína C reactiva (94,5mg/l), y mínima elevación de alanino-aminotransferasa (50mU/ml), todas normalizadas al séptimo día.
A partir de las 60h en nuestra UCI comenzó una notable mejoría, que comprobamos mediante ecocardiografía diariamente, evidenciando una llamativa recuperación de la función sistólica de VI (FE 35% al 4.° día, 65% al 7.° día; material suplementario), así como reducción del diámetro VI (45mm) y del grosor septal (9mm). Permitió retirada de aminas y extubación (5.° día). Refirió entonces dolor de perfil pericárdico, que se acompañaba de ascenso de ST en guirnalda en múltiples derivaciones y descenso de PR, que cedió en pocos días con AAS.
La influenza se ha relacionado con eventos coronarios agudos (como desencadenante), pericarditis y miocarditis, tanto subclínica (ECG, biomarcadores, ecocardiografía) como con disfunción de VI significativa y fulminante, así como arritmias y muerte súbita1.
La frecuencia de la afectación cardiaca por influenza es variable (0-10%), dependiendo de los criterios empleados, pero la afectación grave es rara, atribuyéndose una baja toxigenicidad miocárdica a la influenza estacional1–3. Sin embargo, en la pandemia de 2009 se ha comunicado una elevada prevalencia de miocarditis fulminante (62%) entre los pacientes con miocarditis asociada a H1N1. En esta revisión de 58 pacientes con una edad media de 32 años, la más extensa publicada, la mortalidad fue del 24% (39% para los casos fulminantes). Las alteraciones ecocardiográficas fueron muy frecuentes (90%), y la mayoría recibió tratamiento con inhibidores de la neuraminidasa (85%), aunque solo un 22% presentaba neumonía. Un 29% recibió soporte hemodinámico mecánico, con una supervivencia del 76%2. El ECG es un medio diagnóstico útil, pues son frecuentes las alteraciones de repolarización y los trastornos de conducción. Es característico un engrosamiento transitorio de la pared ventricular acompañando a la disfunción sistólica en distinto grado, y dimensiones diastólicas en el límite alto4. La biopsia endomiocárdica, aunque sigue siendo la referencia confirmatoria definitiva, no se considera actualmente esencial para el diagnóstico y manejo de muchos pacientes. Se sugiere que el inicio precoz de inhibidores de la neuraminidasa puede reducir la mortalidad entre los pacientes hospitalizados por H1N15, aunque no disponemos de información específica sobre los pacientes con miocarditis y su papel no está establecido.
Nuestra paciente mostró, además del cuadro clínico, ECG y analítico, las características ecocardiográficas ya descritas en la miocarditis fulminante, con diámetro de VI casi normal y septo ligeramente engrosado, frente a un VI dilatado con grosor normal en la miocarditis aguda, y marcada mejoría posterior de la función sistólica4,6. Una resonancia cardiaca (cRM) 3 semanas después fue normal. La sensibilidad de la cRM es variable (25-88%, según la técnica y el criterio aplicado), y la inflamación tisular remite en 2-3 semanas tras una virosis sistémica si no existe persistencia viral o enfermedad autoinmunológica7.
La disponibilidad de nuevos métodos diagnósticos, como la PCR para influenza, sin duda están contribuyendo a un mejor diagnóstico de miocarditis asociada a esta. Es probable que los casos más graves estén sobrerrepresentados en la literatura. Dada la elevada incidencia de gripe es importante conocer la posible afectación miocárdica, posiblemente más acentuada en las pandemias. Está justificado un tratamiento de soporte agresivo, teniendo presente la frecuente reversibilidad de la afectación miocárdica en casos fulminantes, incluyendo las miocarditis asociadas a influenza2,6,8.
FinanciaciónNo hay fuente de financiación para el presente trabajo.
Conflicto de interesesLos autores no tienen conflicto de interés en relación con este trabajo.




