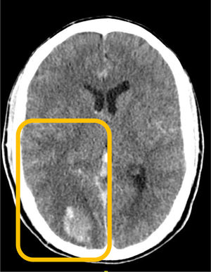
This is the case of a man with soft tissue septic shock due to Streptococcus pyogenes after trauma. Hematogenous spread with necrotizing fasciitis in the extremities (surgical resection) and meningitis with brain abscess (craniectomy and evacuation). Computed tomography (CT) with contrast: edema in the subcutaneous tissue of the left arm and muscle bellies, and a collection on the medial side of the right leg (Fig. 1, blue arrow). Right parietooccipital lobar cranial hematoma, vasogenic edema, and traumatic subarachnoid hemorrhage in the cisterns, with an increased mass effect (blurring of sulci and compression of the right lateral ventricle) (Fig. 2, orange box). Cranial MRI after clinical deterioration (Fig. 3): right occipitotemporal collection of 3.5 cm × 9 cm, irregular hypercaptating margins, and restriction (red stars) suggestive of brain abscess, with intraventricular pus, subfalcine herniation, right uncal herniation (red arrows), and subdural hematoma at the craniectomy site (red triangle).
All authors contributed to the conception and design of the work, drafting of the article, manuscript revision, and final approval of this version.
FundingNone declared.
None declared.





