Sr. Director:
La introducción de aire en el espacio epidural o subaracnoideo es una complicación de la anestesia del canal medular cuyo diagnóstico se realiza cuando los signos clínicos que produce son suficientemente intensos como para realizar una tomografía axial computarizada (TAC) craneal. Esta complicación puede producirse si se penetra inadvertidamente en el espacio epidural y se permite la entrada de aire a dicho espacio.
Existe desde hace tiempo un debate acerca de la utilización de la técnica de la gota pendiente frente a la de la pérdida de resistencia en este tipo de anestesia y las diferencias en la aparición de complicaciones como el neumoencéfalo. Los mecanismos de producción del neumoencéfalo con estas técnicas anestésicas no están totalmente explicados y sugerimos la importancia de determinadas condiciones del paciente que lo hagan más susceptible a esta complicación, incluso cuando se realizan técnicas distintas de la anestesia epidural. Presentamos dos casos que ilustran este problema.
Caso 1. Un varón de 72 años con antecedentes de cirugía de cataratas y enolismo crónico ingresó en el hospital para cirugía por fractura pertrocantérea de fémur izquierdo. No existía antecedente de traumatismo craneoencefálico.
Para el procedimiento quirúrgico se colocó al paciente en decúbito lateral y se realizaron varios intentos de anestesia espinal en el espacio L3-L4, que fueron infructuosos por obtenerse punción hemática en todos ellos. Mientras se realizaban las manipulaciones anestésicas el paciente sufrió una crisis tonicoclónica generalizada, que se sucedió de un estado poscrítico de 10 min de duración. Tras este período el paciente recuperó conciencia normal, sin déficit neurológico.
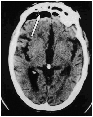
Se realizó una TAC craneal que demostró un neumoencéfalo frontal, retroselar y supraselar, así como moderada atrofia (fig. 1). No se apreciaba lesión ósea craneal. El paciente ingresó en la unidad de cuidados intensivos, y fue dado de alta en 24 h, sin déficit neurológico.
Fig. 1. Tomografía axial computarizada (TAC) craneal del caso 1 que evidencia neumoencéfalo frontal de 1 x 5 cm (flecha), con atrofia cortical.
El paciente fue intervenido 2 días más tarde con anestesia general, realizándose osteosíntesis de la fractura sin complicaciones. Una TAC craneal realizada 2 días después reveló la desaparición de la mayor parte del neumoencéfalo como única variación.
Caso 2. Una mujer de 78 años, con antecedentes de dolores lumbares crónicos por artropatía degenerativa, era sometida a infiltraciones periódicas de esteroides y anestésicos locales en región lumbar. La paciente tenía una importante deformidad escoliótica de columna lumbar.
Durante uno de los tratamientos se procedió a infiltrar la zona paravertebral lumbar de forma bilateral en L2 a L4, manteniendo a la paciente en posición de decúbito lateral. La paciente sufrió durante las manipulaciones un episodio de crisis tonicoclónica generalizada, con un estado poscrítico de 15 min de duración, con recuperación sin déficit neurológico. Se realizó una TAC craneal que evidenció un neumoencéfalo frontal bilateral así como atrofia cortical. Ingresó en la unidad de cuidados intensivos durante 24 h, y fue dada de alta sin aparición de nuevos episodios comiciales.
El neumoencéfalo es una rara complicación de la anestesia raquídea, descrita en la bibliografía en relación con la anestesia epidural, generalmente en pacientes obstétricas1-4. La técnica de la pérdida de resistencia se ha puesto con más frecuencia en relación con esta complicación que la de la gota pendiente. Presentamos 2 casos en los que la entrada de aire en el espacio epidural se realiza de forma accidental, sin que se haya intentado localizar dicho espacio y sin emplear ninguna de las dos técnicas referidas.
La introducción de aire en el espacio epidural se favorece por las presiones negativas generadas en este espacio por la aguja, que modifica de forma dinámica la distancia que separa el ligamento amarillo de la duramadre, según explicó Zarzur5. Según este autor, la introducción de la aguja produce la protrusión del ligamento amarillo en el interior del espacio epidural. Una vez perforado, el ligamento amarillo vuelve a la posición de reposo. Estos cambios en la posición del ligamento amarillo generan una presión negativa artificial en el espacio epidural.
En los casos que describimos, la entrada de aire se produjo probablemente al localizar involuntariamente el espacio epidural y proceder a la retirada del tutor de la aguja de anestesia espinal o a un cambio de jeringuilla conteniendo anestésico, permitiendo la entrada de aire atmosférico.
La manipulación que se realizaba en ambos casos era diferente: en el caso 1 se pretendía una punción en el espacio subdural mientras que en el caso 2 se estaba realizando una punción de los espacios paravertebrales, sin intentar penetrar en el canal medular. En ambos pacientes existía una atrofia cortical cerebral, en uno de origen etílico y en el otro degenerativo senil. Este factor anatómico, junto a cambios degenerativos en las características de elasticidad y dureza del ligamento amarillo, podría favorecer la producción de presión negativa en el espacio epidural y la aparición de neumoencéfalo durante su manipulación, al contribuir a un aumento de la distancia entre el ligamento amarillo y la duramadre. Si estas condiciones anatómicas se dan en un paciente, el riesgo de esta complicación podría aumentar ante técnicas como la punción para la extracción de líquido cefalorraquídeo, técnica habitual en una unidad de cuidados intensivos. La complicación puede pasar fácilmente inadvertida en un paciente sedado o con otras potenciales causas de convulsión.
En los pacientes que describimos el neumoencéfalo se inició como convulsión tonicoclónica generalizada. Se han descrito casos que se presentaron como signos de hipertensión intracraneal y coma2. La recuperación es siempre total, sin secuelas neurológicas, si bien se ha descrito un caso que cursó con mielitis transversa, diferida un mes con respecto al neumoencéfalo y sin clara relación causa-efecto con el mismo4.



