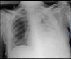
Paciente de 56 años que ingresó en la unidad de cuidados intensivos por neumonía grave de la comunidad complicada con empiema polimicrobiano por Streptococcus pneumoniae y Serratia marcescens (fig. 1). Evolucionó a shock séptico con disfunción multiorgánica y falleció. En la tomografía computarizada (TC) de tórax realizada, se objetivaba desestructuración del lóbulo superior izquierdo con importante hipoperfusión del parénquima, con esfacelos, cavidades necrosadas y niveles hidroaéreos en relación con neumonía necrosante (figs. 2 y 3). Este caso pone de manifiesto que aunque la radiología simple de tórax es la prueba inicial de imagen para evaluar una neumonía, la TC se debe de realizar siempre ante la existencia o sospecha de cualquier complicación de la misma, lo cual puede modificar el tratamiento y pronóstico.
The Impact Factor measures the average number of citations received in a particular year by papers published in the journal during the two preceding years.
© Clarivate Analytics, Journal Citation Reports 2025
SRJ is a prestige metric based on the idea that not all citations are the same. SJR uses a similar algorithm as the Google page rank; it provides a quantitative and qualitative measure of the journal's impact.
See moreSNIP measures contextual citation impact by wighting citations based on the total number of citations in a subject field.
See more





