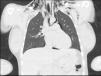
A previously healthy 21-year-old woman primigravida at 36 weeks of pregnancy underwent vaginal delivery of a male infant. In the inmediate pospartum period, she developed subcutaneous emphysema and chest discomfort. A chest X-ray (Fig. 1) revealed subcutaneous emphysema and signs of pneumomediastinum, including Naclerio's V (blue area) and the continuous diaphragm sign (yellow lines). She was treated with conventional oxygen therapy and analgesics. A non-contrast chest CT (Fig. 2) confirmed the presence of pneumomediastinum. During her hospital stay, she was managed conservatively, with gradual improvement of symptoms and resolution of the subcutaneous emphysema. As there were no signs of recurrence, she was discharged after five days.
FundingThe authors received no specific grant from any funding agency in the public, commercial, or not-for-profit sectors.
Conflicts of interestThe authors report no conflict of interest.




