En el implante de marcapasos definitivo debe tenerse en cuenta la existencia de variantes de la normalidad de la anatomía vascular que pueden producir incertidumbre acerca de la correcta posición y avance de los electrodos. Describimos el caso de una de estas variantes.
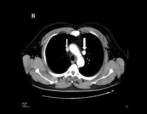
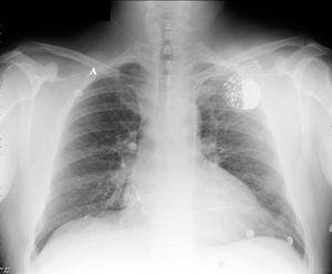
Paciente varón, de 44 años de edad, sometido a implante de marcapasos definitivo debido a un bloqueo aurículo-ventricular de tercer grado, de causa desconocida al no tomar medicación concomitante que pudiera explicar el trastorno de la conducción, ni tener antecedentes clínicos que pudieran justificarlo. Durante el implante los electrodos auricular y ventricular son introducidos a través de la vena subclavia izquierda, y se observa en la escopia que ambos avanzan en dirección caudal por el borde paraesternal izquierdo, confirmándose esta posición en la radiografía posteroanterior de tórax (fig. 1). Los electrodos se encuentran implantados en la aurícula derecha y ventrículo derecho, la amplitud de los sensados y umbrales es correcta. Algunos días más tarde se realiza tomografía axial computarizada torácica (fig. 2), que muestra la vena cava superior (flecha pequeña) y una vena cava superior izquierda (flecha grande), conteniendo ésta última ambos electrodos en su interior.
Figura 1. Radiografía postero-anterior de tórax, mostrando los electrodos de marcapasos que descienden por el borde esternal izquierdo, encontrándose alojados en aurícula y ventrículo derechos.
Figura 2. Tomografía axial computarizada torácica, mostrando la cava superior normal (flecha pequeña) y demostrando la existencia de una vena cava superior izquierda (flecha grande).
La persistencia de una vena cava superior izquierda es una anomalía vascular infrecuente, presente en el 0,3% en algunas poblaciones1. En esta variante los electrodos para marcapasos se encuentran en la vena cava superior izquierda, que desemboca habitualmente en el seno coronario, atravesándolo en dirección a las cavidades cardíacas derechas. La persistencia de vena cava superior se asocia a trastornos de la conducción cardíaca1, como ocurre en el caso que describimos, fibrilación auricular2 y ausencia de vena cava superior derecha3.




