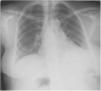
A 48-year-old woman without a past medical history was admitted to the intensive care unit due to respiratory failure in the context of a community-acquired bilateral pneumonia. Orotracheal intubation (OTI) was successfully performed at the first attempt through direct laryngoscopy without a tube guide or other tube instruments using a PVC #8 tube. She developed progressive aerial effusion despite over-insufflation of the cuff (Fig. 1). The urgent bronchoscopy and CAT scan performed (Fig. 2) confirmed the presence of a 4cm-laceration of the posterior tracheal wall 1cm above the carina. She required surgical repair, veno-venous ECMO support, and weaning from prolonged mechanical ventilation. She was eventually diagnosed with Steinert myotonic dystrophy and was discharged from the hospital with ventilatory support (Fig. 3).
FundingThe authors declared they did not receive any funding to conduct this study.
We wish to thank the personnel from the Radiology Unit of the Hospital Universitario 12 de Octubre for their collaboration.
Please cite this article as: Delgado Moya FP, Valiente Fernández M, Lesmes González de Aledo A. Laceración traqueal postintubación. Hiperinsuflación del neumotaponamiento como factor de riesgo. Med Intensiva. 2020;44:394–395.





