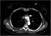
Paciente que ingresa en el hospital por síndrome coronario agudo complicado con comunicación interventricular (CIV). En un inicio se realiza tratamiento con angioplastia primaria y corrección quirúrgica de CIV. Durante el procedimiento desarrolló shock cardiogénico, con necesidad de balón de contrapulsación intraaórtico y ECMO-VA. A pesar del tratamiento hubo persistencia de CIV, por lo que se propone para trasplante cardiaco en centro de referencia. Previo a ello, se realiza angioTC con imagen compatible con disección de aorta ascendente (figs. 1 y 2), por lo que se desestima. Tras la revisión de imágenes en el centro trasplantador, se descarta disección tras valoración en ecocardiografía transesofágica del arco aórtico (fig. 3), considerando que la imagen se produce por confluencia de flujos de ECMO, lo que permite el trasplante.
The Impact Factor measures the average number of citations received in a particular year by papers published in the journal during the two preceding years.
© Clarivate Analytics, Journal Citation Reports 2025
SRJ is a prestige metric based on the idea that not all citations are the same. SJR uses a similar algorithm as the Google page rank; it provides a quantitative and qualitative measure of the journal's impact.
See moreSNIP measures contextual citation impact by wighting citations based on the total number of citations in a subject field.
See more





