Sr. Director:
La infección urinaria es la complicación médica más frecuente del embarazo. La pielonefritis, con una incidencia del 1%, es una complicación mayor con significativa morbilidad para el feto y la madre. Como cualquier situación infecciosa grave, puede asociarse con el síndrome de distrés respiratorio del adulto (SDRA)1. Presentamos el caso de una primigesta de 20 años, con SDRA como complicación de pielonefritis.
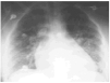
Se trata de una paciente en la semana 21 de embarazo que acudió a urgencias con fiebre y dolor lumbar. Con la sospecha de pielonefritis se realizó una ecografía abdominal que evidenció dilatación de vía urinaria y un área hipoecogénica en la cortical del polo superior del riñón derecho. El sedimento urinario mostraba presencia microbiana, leucocituria y proteinuria. La paciente ingresó en urología para que se llevara a cabo una nefrostomía. Se indicó, además, tratamiento con ceftriaxona y aztreonam. Inicialmente la paciente presentaba deterioro del estado general, y la exploración y la ecografía ginecológica confirmaron el buen estado fetal. Se decidió ingreso en la UCI, donde la paciente se encontraba consciente, afebril, taquicárdica (120 lat/min), con una presión arterial de 95/45 mmHg, y taquipneica, con una SatO2 del 90%. La analítica evidenció en la gasometría arterial con oxígeno a 4 l/min: pH, 7,38; PO2, 53 mmHg; PCO2, 36,3 mmHg; HCO3, 21,8 mmol/l; EB, 2,2 mEq/l. El hemograma puso de manifiesto leucocitos, 19,3 x 10% con un 94% de neutrófilos, hemoglobina de 8,7 g/dl y hematocrito del 27,9%. El estudio de coagulación, las cifras plasmáticas de glucosa, urea y creatinina y el monograma fueron normales. La radiografía de tórax evidenció un edema alveolar compatible con SDRA (fig. 1). El primer día la insuficiencia respiratoria progresó con descenso de la saturación, precisando intubación y conexión a ventilación mecánica, con FiO2 de 1 y PEEP +10 cmH2O, PaO2/FiO2: 116. En el ecocardiograma se apreciaba un ventrículo izquierdo normal, con una buena contractilidad y una presión sistólica pulmonar de 38 mmHg. En el sexto día de ingreso, con buena evolución, se extubó, presentando laringospasmo, que no respondió al tratamiento médico, precisando reintubación y posterior traqueostomía. Los cultivos fueron negativos. A partir de ese momento no aparecieron nuevas complicaciones por lo que se trasladó a planta. En la semana 31 nació por cesárea un niño sano.
Figura 1. Radiografía de tórax que muestra edema alveolar compatible con SDRA.
La pielonefritis durante el embarazo puede seguirse de complicaciones como parto prematuro, insuficiencia renal aguda, sepsis, shock, coagulopatía o insuficiencia respiratoria y SDRA, que aparece en un 2% de estas pacientes. Entre los factores de riesgo de SDRA se han identificado la leucocitosis más intensa, la trombocitopenia, la hemólisis, la disfunción renal y el aumento de la volemia2. Según la bibliografía aparece con más frecuencia en pacientes jóvenes en fases avanzadas del embarazo3. En nuestro caso es importante destacar la rápida evolución y el hecho de que apareciese durante el segundo trimestre.
En conclusión, aunque el SDRA es una entidad poco frecuente en las pacientes embarazadas, debe considerarse como una potencial complicación de la pielonefritis aguda, y hay que sospecharlo siempre que aparezcan taquipnea o hipoxemia, ya que pueden ser los signos de una próxima insuficiencia respiratoria grave. Incluso cuando con el tratamiento antibiótico se haya conseguido una inicial mejoría del cuadro infeccioso, no hay que descartar la evolución a SDRA. El reconocimiento temprano de los síntomas, una estrecha monitorización y un tratamiento intensivo pueden evitar la aparición de complicaciones en la madre y la repercusión de la hipoxia en el desarrollo fetal.


