Sr. Director:
El tratamiento con inmunomoduladores puede producir insuficiencia respiratoria aguda con necesidad de ingreso en la Unidad de Cuidados Intensivos (UCI) y soporte ventilatorio. Presentamos el caso de un hombre de 67 años diagnosticado 6 meses antes de su ingreso de carcinoma renal de células claras con metástasis óseas. Tras nefrectomía radical izquierda inició, 10 días antes de su ingreso, tratamiento con interferón alfa e interleucina-2.
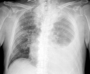
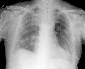
Acudió al Servicio de Urgencias por malestar general, anorexia y disnea progresiva de dos días de evolución. En la exploración destacaba saturación de O2 del 86% e hipoventilación de los dos tercios inferiores del pulmón izquierdo y tercio inferior del pulmón derecho. En la analítica presentaba 8.950 leucocitos/µl con 7,6% de eosinófilos, creatinina 3,1 mg/dl, sodio 126 mEq/l y gasometría venosa con pH 7,36, pCO2 26, PO2 31 y HCO3 15. Se realizó radiografía de tórax, en la que se observaba derrame pleural izquierdo masivo e infiltrado intersticial en pulmón derecho (fig. 1). Ingresó en el Servicio de Oncología procediéndose a toracocentesis evacuadora, de la que se obtuvieron 500 cc de líquido seroso compatible con trasudado. Dado el progresivo empeoramiento respiratorio se comentó el caso con nuestro Servicio, colocándose tubo endotorácico, sin mejoría clínica. Ingresó en la UCI, procediéndose a intubación orotraqueal y conexión a ventilación mecánica. Ante la posibilidad de toxicidad pulmonar por interleucina se suspendió el tratamiento inmunomodulador y se inició tratamiento corticoideo, con resolución completa del cuadro clínico y radiológico (fig. 2), pudiendo ser extubado en 48 horas sin complicaciones. El examen citológico y microbiológico del lavado broncoalveolar y del derrame pleural fueron negativos para malignidad y estériles, mostrando infiltrado inflamatorio de tipo mixto.
Figura 1. Radiografía de tórax. Se aprecia derrame pleural izquierdo masivo e infiltrado intersticial en pulmón derecho.
Figura 2. Resolución total del cuadro clínico y radiológico tras suspender el tratamiento inmunomodulador e iniciar tratamiento corticoideo.
La asociación de interferón alfa e interleucina-2 es efectiva para el tratamiento del carcinoma renal de células claras metastático. Ambos, más frecuentemente la interleucina, pueden producir, raramente, neumonía intersticial y derrame pleural. La interleucina-2 es un fuerte productor de citocinas inflamatorias (IL-1, factor de necrosis tumoral [TNF]-alfa e interferón gamma) y óxido nítrico1. Estas sustancias son las responsables de la toxicidad de la interleucina-2 cuando se administra por vía intravenosa a dosis altas, produciéndose un aumento de la permeabilidad capilar que origina extravasación de líquidos y proteínas2. Otros efectos adversos son hipotensión severa, distrés respiratorio, hiperbilirrubinemia, náuseas/vómitos, diarrea, desorientación, coma, anemia, trombopenia y sepsis. Los ajustes de dosis del fármaco pueden reducir la incidencia y severidad de estas reacciones adversas3.
El diagnóstico se basa en la presentación de un cuadro clínico y radiológico compatible, la exclusión de otras causas de insuficiencia respiratoria, los hallazgos citológicos y la respuesta favorable al tratamiento esteroideo.
El tratamiento precoz con corticoides sistémicos a dosis altas, la retirada de los inmunomoduladores y el soporte ventilatorio son eficaces en la mayoría de los pacientes, siendo el pronóstico de esta entidad favorable4.




