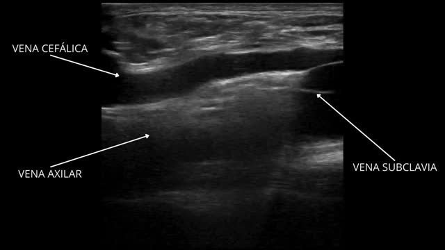
A 33-year-old male was admitted to the Intensive Care Unit due to respiratory distress secondary to Legionella pneumonia, requiring neuromuscular block and prone decubitus upon admission. We conducted prior ultrasound-guided catheterization of the right cephalic vein at its final portion where the vessel drains into the subclavian vein. The Fig. 1 and Video 1 show a longitudinal view of the catheter guide crossing the junction of the cephalic and axillary veins towards the right subclavian vein. Correct positioning was confirmed radiographically (Fig. 1). Such catheterization offers an ultrasound-guided alternative to the infraclavicular subclavian vein, which is not always accessible to ultrasound, posing an increased risk of pneumothorax that should be avoided in patients with severe respiratory failure. On the other hand, positioning is more accessible during prone decubitus compared with other venous accesses (Supplementary images).
The Impact Factor measures the average number of citations received in a particular year by papers published in the journal during the two preceding years.
© Clarivate Analytics, Journal Citation Reports 2025
SRJ is a prestige metric based on the idea that not all citations are the same. SJR uses a similar algorithm as the Google page rank; it provides a quantitative and qualitative measure of the journal's impact.
See moreSNIP measures contextual citation impact by wighting citations based on the total number of citations in a subject field.
See more



