Editado por: el Dr. Juan Antonio Llompart Pou
Médico especialista en Medicina Intensiva, Doctor en Ciencias de la Salud por la Universitat Illes Balears. Servicio de Medicina Intensiva, UCI Trauma y Neurocríticos, Hospital Universitari Son Espases. Palma, España.
Última actualización: Diciembre 2025
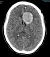
Más datosMujer de 49 años que sufrió una primoconvulsión. Se realizó una TC de cráneo (fig. 1) que objetivó un aneurisma gigante en la arteria carótida interna (ACI) izquierda, trombosado de forma subtotal (no captaba contraste en el angio-TC). Se decidió realizar una arteriografía (fig. 2) que describía un gran aneurisma carótido-oftálmico izquierdo, con una mínima porción permeable (8×5mm), el resto lo describen trombosado. Durante la arteriografía hizo focalidad con hemiparesia y desviación de comisura vocal, con vasoespasmo arteriográfico, que cedió tras administrar verapamilo. Se realizó una RM (fig. 3) que describía el aneurisma con localización paraselar frontal izquierda de 4,2×3,9×3,6cm con origen en el top de la ACI izquierda, presentando efecto masa sobre ambas arterias cerebrales anteriores, arteria cerebral media izquierda, así como compresión y desplazamiento derecho de ambas astas frontales. En el estudio de angio-RM se delimitó una dilatación sacular de 9mm en la porción supraclinoidea de la ACI izquierda, localizada en el tercio inferior del seno de la lesión descrita. Sugieren diagnóstico diferencial con rotura contenida del aneurisma. Se decidió intervención quirúrgica de clipado del aneurisma, que confirmó trombosis parcial del mismo con cápsula íntegra. Tras esto, la paciente se encuentra sin focalidad y como única complicación posterior ha desarrollado un síndrome pierde-sal.
FinanciaciónNo existe financiación.
Conflicto de interesesNo existe conflicto de intereses.
A la Unidad de Medicina Intensiva del HUNSC (Santa Cruz de Tenerife) por la formación recibida. A Carmelo, por su apoyo incondicional.





