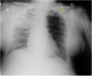
This is the case of a patient admitted to the intensive care unit with signs of right sided pneumonia. A peripherally inserted central catheter (PICC) is cannulated for intravenous treatment. The thoracic x-ray performed reveals that the catheter does not land in the right atrium following a trajectory at clavicle level (Fig. 1). Six days after admission the PICC is removed revealing the presence of neck cellulitis at left jugular vein. The vascular ultrasound performed confirms the presence of venous thrombosis from the cannulation area of the PICC in the mid left cephalic vein (LCV) progressing through the cephalic vein (CV) until it reaches the external jugular vein (EJV) through a segment of supraclavicular anomalous venous communication (AVC) (Figs. 2 and 3).
Authors’ contributionsAll three authors were similarly involved in the diagnosis and management of the patient, and the design and drafting of this manuscript.
FundingNone whatsoever.





