A 42-year-old male carrying an implantable automatic defibrillator (IAD) was admitted to the Intensive Care Unit due to bilateral pneumonia secondary to SARS-CoV-2 infection.
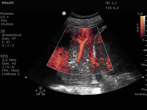
On day 22 of admission, he experienced sudden respiratory and hemodynamic worsening, with a need for vasoactive drugs and increased FiO2 demands. There was no fever or elevation of infection markers. Echocardiography discarded indirect signs of pulmonary thromboembolism. The chest radiography (Fig. 1 Image A) evidenced a clear worsening of the right hemithorax. Pulmonary ultrasound in turn revealed a pattern C (Fig. 1 Image B) in the right lung base that could correspond to atelectasis or pneumonia. Color Doppler (Appendix A image C and enclosed video) revealed a tree-like color sign, corresponding to blood hyper-flow. This finding, together with the dynamic pattern C (fluctuating with inspiration) was consistent with pneumonic condensation.



