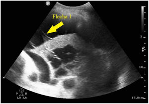
Paciente de 52 años con antecedente personal de síndrome de inmunodeficiencia adquirida, que ingresa en nuestra unidad por neumonía adquirida en la comunidad por Streptococcus pneumoniae. En la radiografía de tórax se objetiva infiltrado basal derecho y se realiza tomografía computarizada de tórax con hallazgos de neumonía necrotizante con probable absceso pulmonar incipiente. Presenta mala evolución, con hipoxemia refractaria a ciclos de prono, realizándose ecografía pulmonar. Se observa derrame pleural con trayectos fibrosos hiperecogénicos o signo del plancton en su interior (fig. 1, flecha 1), infiltrado basal derecho con hiperecogenicidad del parénquima por hepatización del mismo con broncograma aéreo, también interno (fig. 2, flecha 2), así como zonas trabeculadas hipoecogénicas bien delimitadas, compatible con neumonía necrotizante y absceso pulmonar (fig. 2, flecha 3).
FinanciaciónEste trabajo no ha recibido ningún tipo de financiación.
Conflicto de interesesLos autores declaran no tener ningún conflicto de intereses.




