Sugerencias
Compartir
Información de la revista
Vol. 49. Núm. 11.
(Noviembre 2025)
Compartir
Descargar PDF
Más opciones de artículo
Vol. 49. Núm. 11.
(Noviembre 2025)
Imágenes en Medicina Intensiva
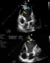
Shock cardiogénico por gran pseudoaneurisma apical del ventrículo izquierdo: una complicación infrecuente
Cardiogenic shock due to a large apical pseudoaneurysm of the left ventricle: A rare complication
Visitas
302
Jaime Andrés Romero León
Autor para correspondencia
jaimeandrs@hotmail.com

Autor para correspondencia.
, Elena Morente García, Eva Peregrina Caño
Medicina Intensiva, Hospital Universitario Virgen de la Victoria, Málaga, España
Este artículo ha recibido
Información del artículo
Texto completo
Descargar PDF
Estadísticas
Figuras (3)
Mostrar másMostrar menos
Material adicional (1)

Artículo

Opciones para acceder a los textos completos de la publicación Medicina Intensiva
Socio
Si es usted socio de la Sociedad Española de Medicina Intensiva, Crítica y Unidades Coronarias:
Diríjase al área de socios de la web de la SEMICYUC (www.semicyuc.org ) y pulse el enlace a la revista.
Suscriptor
Suscriptor de la revista

Si ya tiene sus datos de acceso, clique aquí.

Si olvidó su clave de acceso puede recuperarla clicando aquí y seleccionando la opción "He olvidado mi contraseña".
Suscribirse
Suscribirse a:

Medicina Intensiva

Comprar
Comprar acceso al artículo

Comprando el artículo el PDF del mismo podrá ser descargado

Comprar ahora
Contactar
Teléfono para suscripciones e incidencias
De lunes a viernes de 9h a 18h (GMT+1) excepto los meses de julio y agosto que será de 9 a 15h
Llamadas desde España
932 415 960
Llamadas desde fuera de España
+34 932 415 960
Email
Idiomas
Medicina Intensiva
Opciones de artículo
Herramientas
Material suplementario