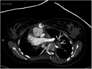
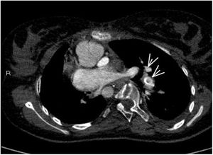
Niña de 16 años con antecedentes personales de cardiopatía congénita compleja que precisa fístula sistémico-pulmonar derecha, y a los 6 años de edad anastomosis cavo pulmonar bilateral (intervención de Glenn). Ingresa en la UCI pediátrica por dificultad respiratoria e hipoxemia severa. Ante la sospecha de TEP se inicia tratamiento con heparina sódica y 24h más tarde por empeoramiento clínico progresivo se realiza nuevo angio-TAC, donde se visualiza trombo en la comunicación de VCSI con arteria pulmonar izquierda compatible con tromboembolismo masivo de pulmón izquierdo (fig. 1, ver flechas). Se inicia tratamiento con activador recombinante tisular del plasminógeno (rTPA), bolo inicial de 30mg (0,5mg/kg), seguido de perfusión de 0,04mg/kg/h. A las 36h en nuevo angio-TAC de control se evidencia una importante disminución de los trombos con notable repermeabilización (fig. 2, ver flechas).
FinanciaciónLos autores declaran no haber recibido financiación para la realización de este trabajo.
										
				



 
		