Mortalidad enel infarto agudo de miocardio
Sr.Director:
Hemosleído con atención el reciente númeromonográfico sobre el proyecto ARIAM (Med. Intensiva 1999;23: 7). Ante todo quisiéramos felicitar a los autores y, porextensión, a todo el grupo por la amplia cantidad de datosque presentan.
Pensamos que elproyecto ARIAM, tal y como se describe en el texto, compartecaracterísticas de los registros y de los estudios deintervención. En efecto, los doctores E. Torrado, A. Vera,A. García, et al, en el capítulo introducción,hablan de que "Estos datos reflejan la experiencia clínicadel mundo real en nuestro país". Sin embargo, refierenalgunas limitaciones con respecto a la exhaustividad y a la validezde los datos, características ambas necesarias para que labase de datos ARIAM pudiera considerarse un registro en sentidoestricto. Por otra parte, en el capítulo sobre concepto,desarrollo y objetivos, los doctores M. Álvarez, A. Vera,J.J. Rodríguez, et al, desarrollan una serie de conceptossobre los sistemas de prioridades que hacen que el proyecto ARIAMposea elementos claros que permitirían suclasificación como un estudio deintervención.
No obstantequisieramos hacer algunos comentarios sobre el capítuloacerca de la mortalidad en el infarto agudo de miocardio (IAM),firmado por los doctores A. Reina, E. Aguayo, M. Colmenero, etal.
En primer lugar,de tipo metodológico. Si, como indican los autores, seincluye el tiempo desde el inicio de los síntomas hasta latrombólisis como variable continua en la regresiónlogística, ¿qué ocurre con los valoresausentes que lógicamente presentan los pacientes que noreciben dicha terapéutica?
En segundo lugares importante reseñar que el estudio no encuentrarelación entre la precocidad de la trombólisis y lamortalidad del IAM dentro de la Unidad de Cuidados Intensivos(UCI). Este resultado debería hacer reflexionar al grupo detrabajo pues es contradictorio con lo que se esperaba encontrar. Ennuestra opinión, es posible que ello pudiera deberse, entreotros factores, al hecho de limitar el tiempo de análisis alperíodo intra-UCI. Quizá un análisis de lamortalidad a largo plazo daría resultadosdistintos.
Finalmente, nosparece contradictorio que, cuando se constata una menor mortalidaddel IAM en la base de datos ARIAM (10,1%) con respecto al estudioRICVAL1 (16,9%), se atribuya, entre otras razones, alhecho de un mayor retraso en la aplicación de latrombólisis en los pacientes incluidos en este últimoregistro; y esto cuando los autores acaban de concluir que estehecho no influye en la mortalidad intra-UCI. Por otra parte, en elestudio PRIMVAC2, contemporáneo de la base dedatos ARIAM, la mortalidad intra-UCI permanece en el 14%.Quizá la explicación sea más simple y tengaque ver con los comentarios acerca de las limitaciones de lamonografía reseñadas en el capítulointroducción antes citado.
En cualquiercaso, y al margen de todas estas consideraciones, reiteramosnuestra felicitación al grupo ARIAM por su esfuerzo enmejorar la atención al paciente con IAM, lo que sin dudaredundará en un mayor número de vidas salvadas,objetivo a la postre de la razón misma de nuestraprofesión.
BIBLIOGRAFIA
1.Cabadés A, Valls F, Echanove I, Francés M, Sanjuan R,Calabuig J, et al. Estudio RICVAL. El infarto agudo de miocardio enla ciudad de Valencia. Datos de 1.124 pacientes en los primeros 12meses de registro (diciembre de 1993-noviembre de 1994). Rev EspCardiol 1997; 50: 383-396.
2.Cabadés A, Echanove I, Cebrián J, Cardona J, Valls F,Parra V, et al. Características, manejo y pronósticodel paciente con infarto agudo de miocardio en la ComunidadValenciana en 1995: resultados del registro PRIMVAC. Rev EspCardiol 1999; 52: 123-133.
J.CEBRIAN DOMENECH Y A. CABADÉS O'CALLAGHAN
Unidad de Cuidados Intensivos. Hospital La Fe.Valencia.
Mortalidad enel infarto agudo de miocardio (réplica)
Sr.Director:
En primer lugardeseo agradecer los comentarios y felicitaciones que los doctoresCabadés y Cebrián hacen con relación alproyecto ARIAM, pues nos supone un estímulo importante paraintentar seguir trabajando en la línea de la mejora continuade la asistencia a los pacientes isquémicosagudos.
Respecto a loscomentarios que hacen sobre el artículo "Mortalidad en elinfarto agudo de miocardio" del monográfico del ProyectoARIAM, me gustaría aportar las siguientesconsideraciones:
1. En elanálisis de regresión logística que serealiza, los valores ausentes son excluidos automáticamente.Por tanto, los pacientes que no reciben tratamientofibrinolítico, como aquellos con valores faltantes sonexcluidos del análisis. Ello lleva a que el análisisse realice sobre una muestra de casos inferior y puede, al menosparcialmente, explicar los resultados.
2. En elartículo, en ningún momento hemos pretendido concluirque el acortamiento del retraso en el inicio del tratamientofibrinolítico no se relacione con el descenso de lamortalidad precoz como tardía, especialmente cuando estetratamiento se logra realizar dentro de las dos o tres primerashoras. Considero que esto es un hecho suficientemente contrastadoen la literatura, hasta constituir hoy día una evidenciacientífica.
De hecho, en losanálisis realizados en el artículo se observa que lospacientes que fallecen presentan un retraso mayor en dichos tiemposque el resto de los pacientes (190 min frente a 170 min) y queentre los pacientes de prioridad I y II que recibieron tratamientofibrinolítico existe un progresivo aumento de la mortalidadconforme aumenta el retraso. No obstante, al realizar elanálisis de regresión, esta variable no entra comosignificativa. Entre las razones que podría explicar esteresultado, estarían el tamaño de la muestraanalizada, y que la mortalidad considerada ha sido la ocurridadurante la estancia a la UCI. Probablemente si hubiéramostenido la mortalidad hospitalaria a los 30 días, sehabría magnificado dicha diferencia.
3. Elregistro RICVAL, realizado en el año 1994, publica unamortalidad de UCI del 16,9% por el 10,1% del ARIAM. Aunque en ambosestudios la edad media de los pacientes, el sexo, y el porcentajede IAM anteriores que se citan, eran similares, y son variablesimportantes que influyen sobre la mortalidad, existen diferenciasque pueden explicar este dato. Por una parte, se trata de unestudio con pacientes en el año 1994, y en el ARIAM de 1994al 1997, y durante estos últimos años, se handesarrollado y generalizado tratamientos que pueden influir endicha diferencia. Además, en el RICVAL, el porcentaje depacientes a los que se les realiza fibrinólisis es del 43,3%mientras que en el ARIAM es del 54,8%, siendo el tratamientofibrinólitico una variable que no es discutible que influyeen la mortalidad. El retraso en el inicio del tratamientofibrinolítico publicado en el RICVAL fue de 210 min(mediana), por 170 min (mediana) en el ARIAM, y creo que aunque ennuestra regresión logística este retraso no muestrasignificación estadística, el hecho de tener un mayorporcentaje de pacientes tratados durante las horas de mayorbeneficio (las tres primeras), es un resultado más paraexplicar la diferencia. Finalmente es de destacar en el RICVAL elalto porcentaje con Killip > 1 (42%), lo cual tambiénjustifica esa tasa de mortalidad.
El registroPRIMVAC realizado en 1995, presenta característicasintermedias entre el RICVAL y el ARIAM. La mortalidad UCI delPRIMVAC es del 13,9%, inferior a la del RICVAL, aunque superior ala del ARIAM, y también presenta una poblaciónsimilar en cuanto a edad y sexo a la del ARIAM, aunque laproporción de infartos anteriores es mayor (42,6% en elPRIMVAC frente a 38,6% en el ARIAM), el porcentaje defibrinólisis es menor (42,1% frente a 54,8%) y el retraso enel inicio del tratamiento fibrinolítico es mayor (195 minfrente a 170 min).
Por todo loanterior concluimos que los datos de los tres registros nos parecencongruentes y aportan una visión evolutiva sobre eltratamiento a los pacientes con infarto agudo demiocardio.
A.REINA TORAL Y E. AGUAYO DE HOYOS
Servicio de Cuidados Críticos y Urgencias. UnidadCoronaria.
Hospital Universitario Virgen de las Nieves.Granada.
Abscesopulmonar por Acinetobacter baumannii
Sr.Director:
Acinetobacterbaumanni ha emergido recientemente como un patógenoimportante en bacteriemias1, meningitis, sepsis porpunta de catéter, infecciones urinarias, de heridaquirúrgica y, significativamente, neumoníasnosocomiales, a menudo relacionadas con la ventilaciónmecánica2. La neumonía asociada a laventilación mecánica ha sido documentada como unacausa de aumento de estancia en Unidad de Cuidados Intensivos (UCI)y de mortalidad3,4; no obstante, nosotros no hemosencontrado ningún caso sobre el desarrollo de abscesopulmonar por este patógeno. Este es un caso de abscesopulmonar secundario a infección pulmonar nosocomial porAcinetobacter baumannii.
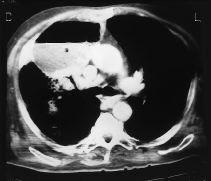
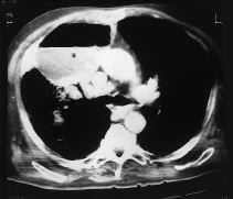
Un varónde 69 años con historia de hipertensión arterial yenfermedad pulmonar obstructiva crónica (EPOC) fue ingresadoen el hospital por agudización de su insuficienciarespiratoria crónica. Dos semanas más tarde,presentó oliguria progresiva, hiperuricemia e hiperkaliemiapor fracaso renal obstructivo secundario a un adenoma depróstata cuyo diagnóstico se desconocía. Porello, fue ingresado en nuestra unidad con cuadro deencefalopatía urémica y fracaso respiratorio,requiriendo intubación endotraqueal y ventilaciónmecánica. La primera radiografía torácica enla UCI mostró ausencia de hallazgos anormales. Tras elsondaje uretral, el fracaso renal se resolvió, y no fueronnecesarios procedimientos dialíticos. A las setenta y doshoras tras el ingreso en UCI, estando el paciente enventilación mecánica, presentó cuadro febrilcon temperatura de 38,5 ºC que se continuó con signosde shock séptico, precisando soporte hemodinámico condopamina y posteriormente noradrenalina. La radiografía detórax mostró un infiltrado en el lóbulosuperior derecho. En el aspirado traqueal se cultivóAcinetobacter baumannii (>106 ufc/ml),modificándose el tratamiento a imipenem y amicacina. En laradiografía se hizo evidente una progresión hacia lacavitación en el lóbulo pulmonar superior derecho. Latomografía axial computarizada (TAC) torácica (fig.1)mostró una gran colección líquida con gas anivel superior en el segmento anterior de dicho lóbulo, conconsolidación alveolar periférica por infiltradoneumónico. Las muestras recogidas por broncoscopia pusieronde manifiesto de nuevo el crecimiento significativo deAcinetobacter baumannii, no observándosecélulas neoplásicas, siendo el resultado negativopara la tinción de Zielh-Nielsen y el cultivo en medioLowenstein. Se procedió a drenaje percutáneo de lacavidad, con mejoría parcial del paciente, y el cultivo desu contenido confirmó Acinetobacter baumannii con lamisma sensibilidad a antimicrobianos que en las pruebas anteriores.No se cultivaron microorganismos anaerobios en el material delabsceso.
Fig. 1. Tomografía axial computarizada (TAC) detórax realizado a los diecinueve días de estancia enla unidad de cuidados intensivos (UCI) mostrando una grancolección líquida en el lóbulo pulmonarsuperior derecho con infiltrado neumónicoperiférico.
Porúltimo fue necesaria la resección quirúrgicade los lóbulos pulmonares superior derecho y medio, siendoposteriormente el paciente dado de alta de la UCI. Tambiénse cultivó Acinetobacter baumannii, como únicogermen, en el material de la resecciónquirúrgica.
Acinetobacterbaumannii es un patógeno bien documentado enneumonía nosocomial. Sin embargo, no se ha descrito comocausa de absceso pulmonar a partir de una neumoníanecrotizante excepto en el caso de un quiste pulmonar preexistente,de origen traumático, que se infecta5.Éste es un caso inusual de neumonía porAcinetobacter baumannii que progresa a la cavitacióny que requirió tratamiento quirúrgico para suresolución.
BIBLIOGRAFÍA
1.Cisneros JM, Reyes MJ, Pachón J, Becerril B, Caballero FJ,García-Garmendia JL, et al. Bacteriemia due toAcinetobacter Baumanii: epidemiology, clinical andprognostic features. Clin Infect Dis, 1996; 22:1.026-1.032.
2.Rubinstein E, Levi I. Acinetobacter infections in intensivecare units. En: Vincent JL, ed. Yearbook of intensive care andemergency medicine. Berlin Heidelberg: Springer, 1996;542-551.
3. FagonJY, Chastre J, Hance AJ , Montravers P, Novara A, Gibert C.Nosocomial pneumonya in ventilated patients: a cohort studyevaluating attributable mortality and hospital stay. Am J Med 1993;94: 281-288.
4.García-Garmendia JL, Ortiz C, Garnacho J, Jiménez FJ,Monterrubio J, Gili M. Mortality and the increase of stay due tothe acquisition of Acinetobacter in critically ill patients.Crit Care Med 1999; 27: 1.794-1.799.
5. SuzukiT, Hori G, Mushiaki T, Kitami A, Takahashi Y, Narihara K, et al.Three cases of traumatic lung cyst. Kyobu-Geka 1989; 42:525-528.
M.CASTILLO QUINTERO, J.L. GARCÍA GARMENDIA,
A. DOBLAS CLAROS, M. RODRÍGUEZ CARVAJAL
Y M. HERRERA CARRANZA
Servicio de Cuidados Críticos y Urgencias. HospitalGeneral Juan Ramón Jiménez. Huelva.
Abscesohepático por Klebsiella pneumoniae en pacientediabética
Sr.Director:
Klebsiellapneumoniae (KP) es el microorganismo responsable de un tipoespecial de absceso hepático (AH) caracterizado por afectarpreferentemente a pacientes diabéticos, no asociarsehabitualmente a infecciones del tracto biliar o intraabdominal yser muy frecuente entre la población de Taiwan1.Se presenta una paciente diabética que tuvo un AH solitariopor KP acompañado de shock séptico y foliculitispustular.
Enferma de 68años, diabética en tratamiento con insulina, quedesde 15 días antes del ingreso estuvo con malestar general,escalofríos ocasionales y molestias en el hipocondrioderecho. Ingresada en el hospital con el diagnóstico decolecistitis alitiásica debido a molestias en el hipocondrioderecho, leucocitosis, hiperbilirrubinemia y ligeradilatación ecográfica de la vesícula biliar,fue trasladada a la Unidad de Cuidados Intensivos (UCI) poraparición de disnea intensa. La exploraciónfísica mostró una paciente obesa, consciente,ictérica y taquipnéica. La presión arterialera de 140/70 mmHg, la frecuencia cardíaca de 85 lat/min yla temperatura de 36,8 °C. La auscultacióncardiopulmonar reveló estertores crepitantes bilaterales yausencia de soplos cardíacos. El abdomen estaba blando, sinvisceromegalias y con molestia ligera a la percusión delhipocondrio derecho. En las extremidades inferiores habíauna foliculitis pustulosa. En la analítica sanguíneadestacó: leucocitos 20,1 * 109/l (74,9% neutrófilos, 5,7% linfocitos,5,9% monocitos, 12,8% basófilos y 0,7% eosinófilos),plaquetas 36 *109/l, glucosa235 mg/dl, urea 90 mg/dl, creatinina 1,1 mg/dl, bilirrubina total 6mg/dl, proteínas totales 5,3 g/dl, CPK 24 U/l, AST 46 U/l,ALT 54 U/l, ALP 310 U/l y LDH 415 U/l. La gasometríaarterial (FiO2 0,50) puso de manifiesto: pH 7,41,PCO2 31,8 mmHg, PO2 56 mmHg, bicarbonato 20,7mEq/l y exceso de bases 2,2. El electrocardiograma (ECG)reveló taquicardia sinusal. La radiografía detórax reveló un infiltrado alveolar bilateral y unaelevación del hemidiafragma derecho. Por sospecha de sepsisde origen biliar se hizo una tomografía axial computarizada(TAC) abdominal que puso de manifiesto una lesiónlíquida de 5 cm de diámetro en el lóbulohepático derecho, que se drenóquirúrgicamente. Tras la intervención, la pacientepermaneció en ventilación mecánica, latemperatura subió a 38,2 °C y necesitó aporte dedopamina, dobutamina, noradrenalina y fluidos. Un catéter deSwan-Ganz registró un índice cardíaco de 4,4l/min/m2, presión capilar pulmonar (PCP) de 17mmHg y resistencias vasculares sistémicas (RVS) de 390 dyn.seg. cm5. A las 48 horas del ingreso en UCI, en loscultivos de sangre, AH y pústulas foliculares seaisló una KP resistente a la ampicilina (no se valoróla ticarcilina/carbenicilina) y sensible a los demásantibióticos. En tratamiento antibiótico conamoxicilina-clavulánico y gentamicina tuvo unaevolución favorable y fue dada de alta a sudomicilio.
El AH por KPsuele presentarse con fiebre mayor de 38 °C y dolorimiento enel hipocondrio derecho. En la analítica sanguíneapuede hallarse leucocitosis, elevación de las enzimashepáticas e hiperglucemia1,2. Puede habermetástasis extrahepáticas, especialmenteendoftalmitis1,2. La KP responsable de los AH secaracteriza por su resistencia a la ticarcilina/carbenicilina yampicilina (como en nuestro caso) y su sensibilidad al resto deantibióticos, incluyendo cefalosporinas yaminoglicósidos1. El tratamiento del AH se basaen el drenaje y en la administración combinada de unacefalosporina y un aminoglicósido. La tasa de mortalidadronda el 12%, pero, como en nuestro caso, puede alcanzar cifrasmayores en presencia de sepsis fulminante (50%), trombopenia bajo150 * 109/l (37%) o focometastásico en órganos críticos(22%)1,3.
Aunque lospacientes diabéticos son muy susceptibles a las infeccionesal estar inmunodeprimidos, parece que existe una relaciónespecífica y estrecha entre las diabetes mellitus y lainfección por KP. Así, el 75% de los pacientes con AHdebido a KP tienen diabetes mellitus frente al 4,5% de lospacientes con AH polimicrobianos. Además, en lasbacteriemias por KP existe una diabetes melltitus subyacente en el36% de los casos3. A su vez, comparando las bacteriemiasentre pacientes diabéticos o no diabéticos se observaque la KP es el microorganismo causal en el 60% y 17%,respectivamente4.
En definitiva,el AH solitario por KP debe incluirse en el diagnósticodiferencial de las infecciones del paciente diabético,especialmente si hay hemocultivos positivos a KPmultisensible.
BIBLIOGRAFIA
1. WangJH, Liu YC, Lee SS, Yen MY, Chen YS, Wang JH, et al. Primary liverabscess due to Klebsiella pneumoniae in Taiwan. Clin Infect Dis1998; 26: 1.434-1.438.
2. HanSH. Review of hepatic abscess from Klebsiella pneumoniae. Anassociation with diabetes mellitus and septic endophthalmitis. WestJ Med 1995; 162: 220-224.
3. LeeKH, Hui KP, Tan WC, Lim TK. Klebisella bacteraemia: a reportof 101 cases from National University Hospital, Singapore. J HospInfect 1994; 27: 299-305.
4.Leibovici L, Samra Z, Konisberger H, Kalter-Leibovici O, Pitlik SD,Drucker M. Bacteremia in adult diabetic patients. Diabetes Care1991; 14: 89-94.
J.ORTEGA CARNICER, A. AMBROS CHECA
Y M.L. GOMEZ GRANDE
Servicio de Medicina Intensiva del Complejo Hospitalario deCiudad Real. Ciudad Real
Psicosisparanoide, coma y rabdomiólisis en un joven adicto acocaína
Sr.Director:
A partir de1982, coincidiendo con la caída del precio de lacocaína en en el mercado negro y la introducciónmasiva del "crack", se detectó una escalada súbita ensu consumo y un dramático aumento de los casos dehospitalización debidos a secuelas graves e incluso letalesasociadas a la cocaína1.
Paciente de 19años, sin antecedentes de interés, salvo que eraconsumidor habitual desde hacía dos años decocaína y cannabis, que tras esnifar, a lo largo de ochohoras, 1,5 g de cocaína y fumar varios cigarrillos dehachis, presentó de forma brusca un cuadro deideación paranoide, agitación extrema ycomportamiento agresivo. Fue trasladado a un hospital comarcaldonde quedó ingresado en la sala de Medicina Interna consujección mecánica y se le administraron porvía intramuscular haloperidol (5 mg), levomepromazina (25mg) y clorpromazina (25 mg). Una hora más tardepresentó depresión del nivel de consciencia(puntución de Glasgow 7/15), miosis arreactiva, respuesta enhiperextensión a la estimulación nociceptiva ehiporreflexia tendinosa. En la exploración clínicadestacaba además: bradipnea con hipoapnea, discretahipoperfusión, deshidratación, tensiónarterial de 180/100 mmHg, taquicardia sinusal de 120/m, temperaturade 38ºC y rinorragia. Fue ingresado en la unidad de CuidadosIntensivos (UCI) requiriendo intubación y ventilaciónmecánica.
Posteriormenteel paciente fue trasladado a nuestro centro. Ladeterminación de drogas de abuso dió positivo acocaína y cannabis. Se realizó una punciónlumbar y una tomografía axial computarizada (TAC) craneal,siendo ambas anodinas. En la evolución ulterior seconstató un síndrome analítico compatible conrabdomiólisis grave y disfunción renal moderada,cuyos valores pico, alcanzados al tercer dia, fueron lossiguientes: CPK total 9.694 U/l, mioglobina del suero 891 ng/l,mioglobina en orina 1.730 µg/l, GOT 377 U/l; GPT 391 U/l, LDH1.355 U/l, urea 52 mg/dl y creatinina 1,8 mg/dl.
El paciente fuesometido durante su estancia en nuestra unidad a diuresis forzadaalcalina, consiguiéndose diuresis diarias de alrededor decinco litros. El paciente pudo ser desconectado del respirador alas 48 horas. Al cuarto día remitió el estadoconfusional y recuperó un nivel de consciencia normal. Traspasar dos días en la planta de Medicina Interna, donde secontinuó con diuresis forzada, el paciente fue trasladado ala clínica psiquiátrica siendo dado de alta al octavodía con normalidad clínica y analíticaabsolutas.
Consumos decocaína superiores a 1 g, en cortos intervalos de tiempo,pueden producir efectos tóxicos neuropsiquiátricossignificativos, incluyendo: ansiedad, agitación, cefaleas,déficit focales, convulsiones y, menos frecuentemente,cuadros de psicosis paranoide grave2. Como en el casoque presentamos, se ha constatado que la aparición de coma yparo respiratorio en pacientes con intoxicacióncocaínica es más frecuente cuando ésta seasocia a alcohol o fármacos depresores del sistema nerviosocentral3. Esto último hace necesario que lospacientes intoxicados por cocaína que requieren agentes deltipo de los neurolépticos para control de suagitación sean vigilados estrechamente durante las primeras24 horas.
Mientras queascensos moderados de CPK se consideran un hallazgo casi universalen los cocainómanos que acuden al hospital, larabdomiólisis grave ( > 5 veces el límitemáximo de referencia) es un hallazgo menos frecuente aunquepuede observarse hasta en un 25% de los casos4. Valoresextraordinariamente altos de CPK (> 50.000 U/l) suelen asociarsea síndrome compartimental4. La búsquedasistématica de rabdomiólisis en todo paciente conintoxicación cocaínica es importante pues la terapiaprecoz y agresiva con: expansión de volumen,alcalinización de la orina y diuréticos, puedeprevenir la aparición de fallo renal agudo,complicación cuya mortalidad puede alcanzar el 50% de loscasos5.
BIBLIOGRAFÍA
1. RubinRB, Neugarten J. Medical complications of cocaine: changes inpatterns of use and spectrum of complications. Clin Toxicol 1992;30: 1-12.
2.Lowenstein DN, Massa SM, Rowbotham MC, Collins SD, McKinney HE,Simon RP. Acute neurologic and psychiatric complications associatedwith cocaine abuse. Am J Med 1987; 83: 841-846.
3. VanekVW, Dickney HI, Signs SA, Schetcher MD, Buss T, Kulics AT.Concurrent use of cocaine and alcohol by patients treated in theemergency department. Ann Emerg Med 1996; 28: 508-514.
4. RothD, Alarcon FJ, Fernández JA, Preston RA, Bourgonie JJ. Acuterhabdomiolisis associated with cocaine intoxication. N Engl J Med1988; 319: 673-677.
5.Fernández-Funes A. La insuficiencia renal aguda en larabdomiolisis. Rev Clín Esp 1998; 198: 52-58.
F.GARCIA DIAZ, J.I. SANCHEZ OLMEDO
Y J. FRIAS OCHOA
Unidad de Cuidados Intensivos.
Hospital Militar Vigil de Quiñone. Sevilla.



