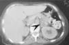
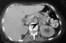
Fig. 1.
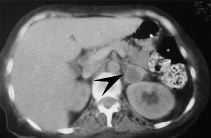
Fig. 2.
Una paciente de 46años, con historia de hipertensión arterial, acude alhospital por dolor subxifoideo opresivo, náuseas y disneaprogresiva, que hace necesaria su intubación yconexión a ventilación mecánica. Elelectrocardiograma (ECG) de ingreso muestra ritmo sinusal y datosde hipertrofia ventricular sin otros datos de interés, y uncorazón ecocardiográficamente normal. Durante losprimeros días presenta tendencia a la hipertensión.Evoluciona posteriormente con inestabilidad hemodinámica,por lo que ante la sospecha de un feocromocitoma se determinanmetanefrinas y ácido vanil mandélico en orina de 24horas, con valores respectivos de 10 mg (r.n. hasta 1 mg/24 h) y 18mg (r.n. hasta 5 mg/ 24 h). En la tomografía axialcomputarizada (TAC) abdominal (fig. 1) se observa unatumoración suprarrenal izquierda de 3 cm compatible confeocromocitoma; y la gammagrafía con131metaiodobencilguanidina (fig. 2) detecta un foco deactividad aumentada en área craneomedial delriñón izquierdo. La paciente fue tratada con alfabetabloqueantes y adrenalectomía evolucionandofavorablemente.
E. ALEMPARTE PARDAVILA Y M.J. CASTRO ORJALES
Servicio de Medicina Intensiva. Complejo Hospitalario JoanCanalejo. A Coruña.




