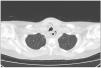
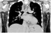
This is the case of a 17-year-old girl with a past medical history of childhood meningoencephalitis without sequelae, with a 1-week history of neck pain, odynophagia, and fever of up to 39 °C. On physical examination, vital signs were stable, and she exhibited cervical pain upon movement. The lab test results showed elevated acute-phase reactants. The cervical and thoracic CT scans performed revealed the presence of a large cervical collection with abundant gas bubbles inside (asterisks) spreading toward the posterior mediastinum through the retropharyngeal space, which were findings consistent with necrotizing fasciitis and posterior mediastinitis. Surgical samples cultured Streptococcus dysgalactiae and S. intermedius. The patient responded favorably to antibiotic therapy and surgical drainage of the collection (Figs. 1, 2 and 3).
FundingNone declared.
Conflicts of interestNone declared.





