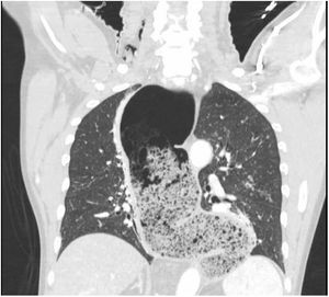
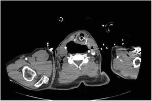
A 61-year-old man with a history of achalasia treated in 2015 with fundoplication, without other known conditions, presents to the ER with sudden dyspnea and acute hypoxemic respiratory failure. On physical examination, leftward tracheal deviation with cervical edema and subcutaneous tissue crepitus is observed (Fig. 1). Once stabilized with endotracheal intubation and connected to invasive mechanical ventilation, suspicion of esophageal disease leads to a contrast-enhanced thoracic CT scan that confirms the presence of a 7 cm megaesophagus (AP axis) with fluid and air levels inside (Fig. 2), and bubbles of pneumomediastinum with extensive cervical subcutaneous emphysema (Fig. 3), which are consistent with cervical esophageal perforation. Definitive treatment: esophagectomy.
Conflicts of interestNone declared.





