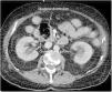
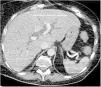
A 77 y.o. woman with a history of cholecystectomy was brought to the Emergency Department for low level of consciousness. Physical exam was normal except for hypoperfusion signs and hemodynamic instability. At paraclinic tests, she showed a normal EKG, blood analysis with acute renal failure data. Cranial computerized tomography (CT) and thoracic pulmonary CT angiography had no alteration. After aggressive fluid resuscitation in the first hour of admission, she improved alertness and mean arterial blood pressure, orienting further differential diagnosis towards sepsis. The abdominal CT scan revealed a voluminous diverticulum in the second portion of the duodenum (Fig. 1.), producing an obstructive effect and marked dilation of both extra (Fig. 2) and intrahepatic biliary ducts (Fig. 3) known as Lemmel's syndrome.
The Impact Factor measures the average number of citations received in a particular year by papers published in the journal during the two preceding years.
© Clarivate Analytics, Journal Citation Reports 2025
SRJ is a prestige metric based on the idea that not all citations are the same. SJR uses a similar algorithm as the Google page rank; it provides a quantitative and qualitative measure of the journal's impact.
See moreSNIP measures contextual citation impact by wighting citations based on the total number of citations in a subject field.
See more





