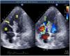
Mujer de 67 años en shock cardiogénico tras infarto de miocardio, con un seudoaneurisma y comunicación interventriculares (CIV): disposición oblicua, medial-anteroseptal a septoapical (fig. 1). Tras la estabilización, se repara con parche bovino. En controles ecocardiográficos objetivamos disfunción del ventrículo derecho (VD) y persistencia de la CIV: con escaso relleno diastólico del seudoaneurisma desde el VD y un predominante relleno sistólico turbulento desde el ventrículo izquierdo (VI), que evacúa al VD mediante 2 jets (Video 1). El salino agitado confirma un discreto relleno del seudoaneurisma desde el VD y rápido lavado del mismo desde el VI, así como el paso de algunas burbujas desde el VD al VI (fig. 2, Video 2). La grave disfunción derecha imposibilitó nueva reparación. Flechas amarilla: seudoaneurisma; flecha verde: CIV; flecha azul: burbujas en el VI; flecha roja: parche. Planos ecográficos: apical 4/5 cámaras y modificado.
The Impact Factor measures the average number of citations received in a particular year by papers published in the journal during the two preceding years.
© Clarivate Analytics, Journal Citation Reports 2025
SRJ is a prestige metric based on the idea that not all citations are the same. SJR uses a similar algorithm as the Google page rank; it provides a quantitative and qualitative measure of the journal's impact.
See moreSNIP measures contextual citation impact by wighting citations based on the total number of citations in a subject field.
See more




