Desde 1950 los corticoides forman parte del tratamiento coadyuvante en la meningitis bacteriana aguda (MBA), especialmente en los casos que cursan con una elevada concentración bacteriana en el líquido cefalorraquídeo (LCR) o con signos de hipertensión endocraneal (HTEC)1.
Los corticoides actúan sobre la cascada de la inflamación por diversos mecanismos, disminuyendo la presión intracraneal (PIC) y el edema local2. Desde 1988 han aparecido diversos estudios acerca del uso de los corticoides en la MBA. Así, en un reciente estudio se observó una evidente reducción de la mortalidad en la MBA del adulto con el uso de 10 mg de dexametasona cada 6 h durante 4 días. La mortalidad del grupo de tratamiento fue del 7% frente a un 15% del grupo control3.
En el ámbito de las MBA que precisan ingreso en una unidad de cuidados intensivos, Auburtin et al, en un estudio retrospectivo de MBA causada por neumococo, con una mortalidad intra-UCI del 25%, observaron una mejor evolución clínica en los pacientes a los que se administraron corticoides4.
Ante estos hallazgos, y dada la elevada mortalidad de la MBA del adulto que requiere ingreso en UCI, consideramos de interés presentar un caso en el que el tratamiento de soporte de la MBA siguió una pauta poco convencional que no incluyó el uso de corticoides.
CASO CLÍNICO
Se trata de una mujer de 30 años, con asma bronquial como único antecedente patológico de interés, que es trasladada a nuestro centro tras presentar un cuadro de 24 h de evolución consistente en cefalea, vómitos, fiebre y deterioro del nivel de conciencia, y una puntuación en la escala de Glasgow de 8 puntos.
A su llegada al servicio de urgencias persistía en coma, por lo que se decidió proceder a intubación y conexión a ventilación mecánica, realizándose una tomografía axial computarizada (TAC) craneal que no mostró alteraciones significativas. Posteriormente, tras ingresar en la UCI, la punción lumbar dio salida a un líquido de aspecto turbio, de 55 cmH2O de presión, con la siguiente bioquímica: glucosa indetectable; proteínas, 7,31 g/l; leucocitos, 220/μ (98% neutrófilos), y hematíes, 20/μl. En el análisis microbiológico se informó del crecimiento de diplococos, por lo que se inició tratamiento antibiótico con cefotaxima.
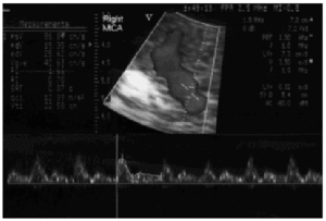
Seguidamente se llevó a cabo un estudio Doppler transcraneal con codificación de color (DTCC) que mostró un patrón restrictivo bilateral en todas las arterias del polígono de Willis, con índices de pulsatilidad de 1,6 y velocidades diastólicas de 25 cm/s (fig. 1). Tras estos hallazgos, y ante la sospecha de importante HTEC se colocó un catéter de PIC intraparenquimatoso que proporcionó valores iniciales de 48 mmHg.
Figura 1. Patrón sonográfico de arteria cerebral media derecha por Doppler transcraneal con codificación de color (DTCC), realizado al ingreso. Se observa un patrón restrictivo con índice de pulsatilidad (IP) de 1,66 y velocidad diastólica de 25 cm/s.
Se decidió realizar un tratamiento agresivo de la HTEC, por lo que se siguió el protocolo actual de nuestra unidad en el paciente con traumatismo craneoencefálico: sedación con midazolam y morfina, colocación de catéter yugular ascendente, fármacos inotrópicos para mantener presión de perfusión cerebral (PPC) superior a 70 mmHg, a pesar de mantenerse hemodinámicamente estable y optimización de los factores extracraneales que pudieran contribuir a un aumento de la PIC (volemia, hemoglobina, PaCO2 temperatura, etc.).
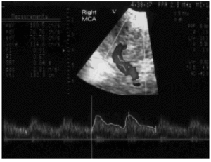
Ante la persistencia de valores elevados de la PIC se inició un tratamiento con manitol, con control inicial de la PIC de escasa duración. Tras precisar repetidas dosis por una nueva reelevación de la PIC y alcanzar valores de sodio plasmático de 154 mmol/l y osmolaridad en sangre de 327 mOsm/l, se decidió inducir un coma barbitúrico con tiopental con buen control posterior de la PIC (fig. 2).
Figura 2. Patrón sonográfico de arteria cerebral media derecha por Doppler transcraneal con codificación de color (DTCC) realizado tras tratamiento de HTEC durante 48 h con barbitúricos. Obsérvese el aumento de la velocidad diastólica hasta 76 cm/s y la disminución del índice de pulsatilidad (IP) de 0,91.
Pasadas 48 h con valores de PIC inferiores a 20 mmHg, se realizó nuevo control de DTCC que mostró desaparición del patrón restrictivo, por lo que el tiopental se retiró progresivamente sin producirse nuevo ascenso de la PIC.
Tras la suspensión de los barbitúricos se produjo una rápida recuperación del nivel de conciencia de la paciente, por lo que se retiró el catéter de PIC, y se la pudo desconectar de la ventilación mecánica y extubarla sin problemas.
El estudio microbiológíco confirmó el crecimiento de Neisseria meningitidis serotipo C en el líquido cefalorraquídeo (LCR) y hemocultivos, manteniéndose la misma pauta antibiótica. Tras una semana de ingreso en nuestra unidad, la paciente se pudo trasladar a planta de hospitalización, donde completó la pauta antibiótica y fue dada de alta hospitalaria sin secuelas neurológicas.
DISCUSIÓN
El tratamiento coadyuvante en la MBA incluye actualmente el uso de corticoides. Sin embargo, la mortalidad y las secuelas asociadas a esta enfermedad continúan siendo elevadas en los pacientes que requieren ingreso en UCI, por lo que quizá podría obtenerse una mejoría en el pronóstico mediante un tratamiento más agresivo.
Algunos estudios demuestran que en la fase inicial de la MBA la autorregulación cerebral se encuentra alterada, mientras que con la recuperación clínica el sistema vascular cerebral recobra la capacidad de mantener una correcta perfusión cerebral, a pesar de variaciones en la presión arterial media5. Una complicación de la pérdida de la autorregulación es la HTEC, posibilidad que en esta paciente se confirmó posteriormente mediante el estudio con DTCC, prueba que nos permite la monitorización de la hemodinámica cerebral. La eficacia de la terapia osmótica (manitol) en la reducción de la PIC y la mejoría de la respuesta neurológica es bien conocida, aunque su mecanismo de acción es aún objeto de debate. Algunas acciones conocidas incluyen la expansión plasmática, la deshidratación intracelular y el aumento del flujo sanguíneo cerebral (FSC)6.
Algunos centros, según estos estudios, proponen en la MBA del adulto el uso combinado de dexametasona, manitol y difenilhidantoína, con lo que se ha observado una mejoría en la supervivencia de la meningitis neumocócica7.
Más controvertido puede resultar el empleo de los barbitúricos en un proceso inflamatorio del SNC. No hemos encontrado en la bibliografía estudios que relacionen el uso de barbitúricos con una mejoría en el pronóstico de la MBA. Sin embargo, en el traumatismo craneoencefálico, los barbitúricos producen un descenso de la relación entre el consumo metabólico de oxígeno y el FSC, con el consiguiente descenso de la PIC. Además, su efecto neuroprotector incluiría otros mecanismos, como la disminución del calcio intracelular, la reducción de la peroxidación lipídica, la atenuación del daño citotóxico y la depuración (scavenger) de radicales libres8.
Creemos que las nuevas técnicas diagnósticas al alcance de los servicios de medicina intensiva, especialmente el DTCC, prueba no invasiva realizable a pie de cama y que permite seleccionar el grupo de pacientes con MBA y deterioro franco del nivel de conciencia con signos sugestivos de HTEC importante9, deberían pasar a formar parte del tratamiento sistemático de esta afección.
La colocación de un catéter intraparenquimatoso no es práctica habitual, pero en este grupo de enfermos seleccionados permitiría un tratamiento mucho más agresivo de la HTEC asociada a la MBA.
Se deberían realizar estudios con series extensas de pacientes para concluir beneficio del tratamiento neurocrítico agresivo en la MBA10.




