INTRODUCCIÓN
La miocardiopatía periparto se define como la aparición de insuficiencia cardíaca en el último mes de embarazo o en los 5 meses después del parto, sin una causa determinada, con ausencia demostrable de enfermedad cardíaca antes del último mes de embarazo y con cambios ecocardiográficos que demuestren disfunción ventricular izquierda. En nuestro caso la paciente presentó un edema agudo de pulmón cardiogénico con cambios electrocardiográficos y ecocardiográficos con una recuperación posterior de la función ventricular.
CASO CLÍNICO
Se trata de una paciente de 23 años sin alergias medicamentosas. Entre sus antecedentes destacan apendicetomía, fumadora, adicta a drogas inhaladas (cocaína y heroína) y en tratamiento actual con metadona. La paciente había presentado un aborto 3 años antes. Fue remitida a nuestro hospital procedente de otro centro a las 27 semanas de gestación por trabajo de parto, que se consiguió frenar tras la administración de tocolíticos, por lo que se realizó cesárea en el día del ingreso bajo anestesia raquídea con bupivacaína. En la analítica preoperatoria se objetivó anemia, con hemoglobina de 7,3 g/dl y citólisis hepática, con valores séricos de GOT de 109 U/l, de GPT de 93 U/l, de bilirrubina total de 5 mg/dl, de birrubina directa de 3,6 mg/dl. La coagulación era normal y las plaquetas, 415 x 109/l. Se realizó una ecografía abdominal preoperatoria, sin alteraciones significaticas.
A las 24 h de la cesarea se reinició tratamiento con metadona, transcurriendo el período postoperatorio con normalidad, salvo por episodios de agitación por probable síndrome de abstinencia. A las 36 h de la intervención, de forma súbita y encontrándose previamente bien, presentó agitación, insuficiencia respiratoria grave y disminución del nivel de conciencia.
En la exploración en el ingreso en la UVI se comprobó la existencia de cianosis, con gran trabajo respiratorio. La paciente no respondía a órdenes y no colaboraba a la exploración; además presentaba una gran agitación psicomotriz y movía en flexión las cuatro extremidades. La presión venosa central era de 22 cmH2O; la presión arterial, de 65/30 mmHg, y la frecuencia cardíaca, de 110 lat/min. La auscultación pulmonar puso de manifiesto crepitantes bilaterales de predominio en bases, y la auscultación cardíaca evidenció tonos rítmicos sin soplos. El abdomen mostraba una cicatriz de laparotomía infraumbilical con aspecto normal. No se observaron masas ni megalias, y las extremidades inferiores no mostraban edemas ni flebitis. El latido de los pulsos distales era normal.
La analítica en el ingreso demostraba: hemoglobina, 6,6 g/dl; hematocrito, 19%; leucocitos, 13,8 x 109/l (neutrófilos, 75%); plaquetas, 420 x 109/l; glucemia, 86 mg/dl; urea plasmática, 20 mg/dl; creatinina, 0,7 mg/dl; cloremia, 115 mmol/l; natremia, 140 mmol/l; potasemia, 3,6 mmol/l; calcemia, 7,6 mg/dl; bilirrubina total plasmática, 2,8 mg/dl; bilirrubina directa, 1,5 mg/dl; transaminasa glutámico oxalacética (GOT), 90 U/l; transaminasa glutámico pirúvica (GPT), 67 U/l; lactodeshidrogenasa (LDH), 892 U/l; proteínas plasmáticas totales, 4,6 g/dl; albúmina, 2,2 g/dl. La troponina fue negativa.
La actividad de protrombina era del 77%, el TTPA, 34 s; el fibrinógeno, 293 mg/dl. VIH: (); VHC: (+), y VHB: (-). FiO2 1: pH 7,19; PaCO2, 39 mmHg; PaO2, 53 mmHg; CO3H, 21 mEq/l; EB, 7 mEq/l; SaO2, 61%.
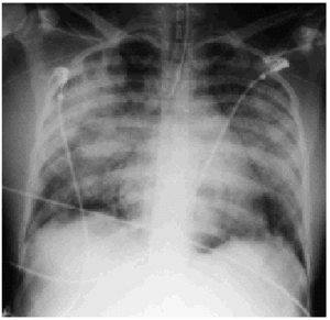
La radiografía de tórax mostraba un infiltrado alveolar bilateral con una silueta cardíaca normal (fig. 1). El electrocardiograma evidenciaba un ritmo sinusal de 106 lat/min, con descenso del ST difuso en la cara anterior y lateral. La ecografía abdominal informaba de un parénquima hepático de estructura homogénea con dilatación de las suprahepáticas con flujo dentro de la normalidad y una mínima cantidad de líquido libre perihepático y en la pelvis. La vesícula biliar evidenciaba paredes ligeramente engrosadas. No había dilatación de las vías biliares intra y extrahepáticas. El bazo era de tamaño grande y los riñones, de características normales
Figura 1. Radiografía de tórax anteroposterior realizada en el ingreso donde se aprecia infiltrado alveolar bilateral, con silueta cardíaca normal.
A su ingreso, la paciente fue intubada y conectada a ventilación mecánica con necesidad de FiO2 de 1 y PEEP de 10 cmH2O, con soporte hemodinámico con volumen, dopamina y noradrenalina, presentando una mala respuesta. Se realizó un ecocardiograma que demostró una hipomotilidad generalizada, sobre todo anterior y apical. La fracción de eyección era del 45%. Las cavidades derechas no estaban dilatadas y presentaban una insuficiencia tricuspídea mínima. La presión sistólica de la arteria pulmonar era de 45 mmHg. Ante esta situación hemodinámica se colocó un catéter de Swan-Ganz y se obtuvo una presión capilar pulmonar de 21 mmHg con hipertensión pulmonar moderada y gasto cardíaco normal, por lo que se instauró tratamiento diurético, con lo que mejoró la sintomatología. El electrocardiograma se normalizó completamente. La determinación de cocaína y opiáceos en orina fue negativa.
La evolución fue favorable y se pudo retirar el apoyo hemodinámico y respiratorio, aunque el destete se retrasó por la aparición de fiebre por sobreinfecciones nosocomiales. Se realizó tratamiento antibiótico controlando los episodios infecciosos. La función cardíaca se normalizó, con ecocardiogramas de control con mejoría progresiva. En el momento del alta la función sistólica era normal, sin dilatación de ventrículo izquierdo, con normalización de la presión arterial pulmonar, sin encontrarse vegetosis y con persistencia de ligera hipocinesia inferoapical.
Finalmente, pudo ser desconectada de la ventilación mecánica y darse de alta del hospital con buena situación clínica.
DISCUSIÓN
En el diagnóstico diferencial del edema agudo de pulmón tras el parto se puede incluir, además de la miocardiopatía periparto, el síndrome de HELLP1, definido por la presencia de hemólisis, elevación de enzimas hepáticas y trombocitopenia. En el caso descrito la paciente presentaba anemia y elevación de enzimas hepáticas sin trombocitopenia, por lo que se podría considerar una forma de HELLP incompleto2. El edema pulmonar puede aparecer hasta en un 13% de las formas de HELLP, y es más frecuente en el síndrome completo que en el incompleto. Nuestra paciente no presentó historia obstétrica de preeclampsia, de HTA ni de edemas. La anemia que presentaba no era hemolítica, y las alteraciones de las pruebas de función hepática se consideraron secundarias a la hepatitis C y a la situación de shock cardiogénico, presentando una normalización progresiva en los primeros días de estancia.
En este caso creemos que se trataba de una miocardiopatía periparto, que se define3 como la presentación de fallo cardíaco en el último mes de embarazo o en los 5 meses posparto en ausencia de una causa determinable de fallo cardíaco, con ausencia demostrable de enfermedad cardíaca antes del último mes de embarazo y con cambios ecocardiográficos que demuestren disfunción ventricular izquierda. Aunque el parto sea prematuro, en la definición se incluye a las pacientes que desarrollan esta entidad tras finalizar la gestación.
Esta es una entidad de incidencia variable5: 1:15.000 a 1:300 embarazos, y es más frecuente en los países en que predominan las personas de raza negra. En relación con su epidemiología no existe ningún marcador de riesgo característico, siendo más frecuente en mujeres menores de 30 años, multíparas y en partos gemelares con historia de preeclampsia. Witlin et al4 describen 28 casos en los que el riesgo de miocardiopatía posparto era 2,5 veces mayor en las cesáreas. Algunos casos se han descrito asociados con desnutrición, infecciones por enterovirus y abuso de cocaína5. La terapia tocolítica después de 48 h se asocia con edema agudo de pulmón no cardiogénico, y también se ha descrito tras 4 semanas miocardiopatía periparto y tras cesárea. No parece que esta entidad se asocie con el estrés del embarazo y el parto, ya que esto es más frecuente en cardiópatas. Por otro lado, no se ha encontrado relación con trastornos nutricionales, trastornos hormonales, alteraciones vasculares, mecanismos inmunológicos. Midei et al6 encontraron una etiología inflamatoria-infecciosa: hallaron asociación con infecciones por virus ECHO y Coxsackie. En un 78% de las pacientes con miocardiopatía posparto las biopsias endocárdicas demostraron miocarditis.
La sintomatología clínica es similar a la de un cuadro de insuficiencia cardíaca, pudiendo ser de carácter insidioso o comenzar en forma de edema agudo de pulmón, con disnea, tos, ortopnea, disnea paroxística nocturna, cansancio, palpitaciones, hemoptisis, dolor torácico, dolor abdominal. Los signos clínicos son ingurgitación yugular, tercer tono, crepitantes pulmonares, edemas periféricos, ascitis, arritmias, hepatomegalia, fenómenos embólicos, en función de la gravedad.
El diagnóstico es clínico, y se complementa con los hallazgos del electrocardiograma. La radiografía de tórax suele demostrar cardiomegalia con derrame pleural bilateral, infiltrados pulmonares, signos de congestión venosa pulmonar y edema pulmonar. El ecocardiograma es patológico y puede mostrar dilatación de ventrículo izquierdo, con deterioro de la función sistólica, alteraciones segmentarias de la contractilidad, y constituye uno de los criterios diagnósticos de cardiopatía periparto.
El tratamiento es similar al de la insuficiencia cardíaca, aunque algunos autores recomiendan inmunosupresores si la biopsia es positiva. Algunos casos rebeldes al tratamiento pueden llegar a requerir trasplante cardíaco, con buenos resultados fundamentalmente por ser pacientes jóvenes y con miocardiopatía de reciente comienzo con mínimo daño en otros órganos. En cuanto al pronóstico, es una entidad con una mortalidad del 25-50%. Si existe una buena recuperación de la función ventricular en 6 meses, la supervivencia es alta.
Los siguientes embarazos en mujeres con miocardiopatía periparto previa se asocian con un deterioro significativo de la función ventricular, pudiendo sufrir un grave deterioro clínico, con lo que la mortalidad aumenta.
En relación con la cocaína y la cardiopatía posparto, existe un efecto tóxico directo de la cocaína que produce miocarditis-vasculitis; así, en un estudio se encontró evidencia de miocarditis en 8 de 40 pacientes con consumo de cocaína estudiados7. La cardiotoxicidad de la cocaína se debe también al efecto tóxico de los adulterantes de esta droga. Existe también una depresión del miocardio observada en animales de experimentación. Por otro lado, hay un mayor riesgo de endocarditis en usuarios de drogas por vía parenteral. Por último, la cocaína puede aumentar su toxicidad en el embarazo por cambios en la sensibilidad de los receptores α-adrenérgicos. Por ello se puede concluir que el abuso de cocaína y los cambios hemodinámicos del embarazo suponen una predisposición a la cardiopatía posparto.



