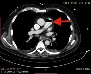
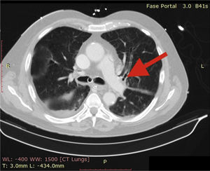
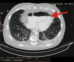
A 72-year-old man, previously independent, was admitted to the emergency department following cardiorespiratory arrest. A chest computed tomography scan (CTS) was requested. During the exam, the patient experienced sudden hypotension (65/20¿;mmHg) and poor peripheral perfusion. The exam was suspended and a fluid bolus was administered, resulting in transient reversal of the condition. Gas was detected in the injection system, which was replaced, and the exam was repeated. The CTS revealed gas embolism with an air-fluid level in the main pulmonary artery (marked with an arrow in Fig. 1), right atrium and right ventricle (marked with an arrow in Fig. 2), as well as in the left upper lobar artery (marked with an arrow in Fig. 3). Due to the venous gas embolism, he was transferred for treatment at a hyperbaric medicine center.
The Impact Factor measures the average number of citations received in a particular year by papers published in the journal during the two preceding years.
© Clarivate Analytics, Journal Citation Reports 2025
SRJ is a prestige metric based on the idea that not all citations are the same. SJR uses a similar algorithm as the Google page rank; it provides a quantitative and qualitative measure of the journal's impact.
See moreSNIP measures contextual citation impact by wighting citations based on the total number of citations in a subject field.
See more





