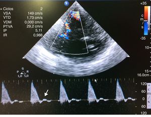
Mujer de 43 años con cefalea brusca. La TC demuestra hemorragia parieto-occipital izquierda sobre lesión subyacente con herniación parcial. La escala de coma de Glasgow (GCS) 15 hasta el 4.° día, en el que presenta anisocoria derecha y GCS 3. Se inicia osmoterapia, sedación, VM, hiperventilación y catéter en subclavia derecha, resolviéndose la anisocoria y siendo el valor de BIS 40 (se descarta resangrado en la TC). A los pocos minutos se implanta sensor de PIC (65mmHg), BIS cae a 0 y el Doppler transcraneal objetiva flujo sistólico con ausencia de onda diastólica (fig. 1), que no revierten con medidas de 1.° nivel. Descartadas otras etiologías de hiperPIC, se realiza Rx de tórax de control de vía, aún pendiente, objetivándose neumotórax (NT) derecho iatrogénico a tensión. Tras drenar NT, se normalizan pupilas, velocidades de la ACM (fig. 2), BIS y PIC.
El factor de impacto mide la media del número de citaciones recibidas en un año por trabajos publicados en la publicación durante los dos años anteriores.
© Clarivate Analytics, Journal Citation Reports 2025
SJR es una prestigiosa métrica basada en la idea de que todas las citaciones no son iguales. SJR usa un algoritmo similar al page rank de Google; es una medida cuantitativa y cualitativa al impacto de una publicación.
Ver másSNIP permite comparar el impacto de revistas de diferentes campos temáticos, corrigiendo las diferencias en la probabilidad de ser citado que existe entre revistas de distintas materias.
Ver másEl número medio de días que tarda un artículo desde su envío hasta la primera decisión editorial.
Ver más




