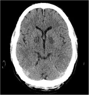
A 53-year-old male was admitted to the Intensive Care Unit with cardiogenic shock secondary to severe carbon monoxide poisoning. Treatment was started with 100% O2 due to initial carboxyhemoglobin levels of 25%. Echocardiography was performed due to sustained hypotension despite resuscitation and vasoactive drugs (Appendix B enclosed video, left), revealing severe biventricular dysfunction with an estimated cardiac output of 1.8 L/min that gradually recovered in the subsequent 48 h with inotropic support in the form of dobutamine (Appendix B enclosed video, right). The initial ECG tracing evidenced no known right bundle block (Fig. 1, image A) that reverted after the first 24 h, evolving towards subendocardial injury on the anterolateral surface and posterior ischemia in those territories (Fig. 1, images B and C). The brain CT scan evidenced symmetrical bilateral hypodensity in the globus pallidus (Fig. 2) – this image being characteristic of carbon monoxide poisoning due to the high iron content and high sensitivity to hypotension.
El factor de impacto mide la media del número de citaciones recibidas en un año por trabajos publicados en la publicación durante los dos años anteriores.
© Clarivate Analytics, Journal Citation Reports 2025
SJR es una prestigiosa métrica basada en la idea de que todas las citaciones no son iguales. SJR usa un algoritmo similar al page rank de Google; es una medida cuantitativa y cualitativa al impacto de una publicación.
Ver másSNIP permite comparar el impacto de revistas de diferentes campos temáticos, corrigiendo las diferencias en la probabilidad de ser citado que existe entre revistas de distintas materias.
Ver másEl número medio de días que tarda un artículo desde su envío hasta la primera decisión editorial.
Ver más




